GM11219
Fibroblast from Whole embryo, Embryo
Description:
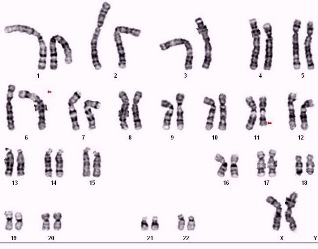
TRANSLOCATED CHROMOSOME
|
Repository
|
NIGMS Human Genetic Cell Repository
|
| Subcollection |
Chromosome Abnormalities |
|
Biopsy Source
|
Embryo
|
|
Cell Type
|
Fibroblast
|
|
Tissue Type
|
Whole embryo
|
|
Transformant
|
Untransformed
|
|
Sample Source
|
Fibroblast from Whole embryo, Embryo
|
|
Relation to Proband
|
proband
|
|
Confirmation
|
Clinical summary/Case history
|
|
ISCN
|
46,XX,t(6;11)(6qter>6p23::11q21>11qter;11pter>11q21::6p23>6pter)
|
|
Species
|
Homo sapiens
|
|
Common Name
|
Human
|
|
Remarks
|
|
| Passage Frozen |
5 |
| |
| IDENTIFICATION OF SPECIES OF ORIGIN |
Species of Origin Confirmed by Nucleoside Phosphorylase, Glucose-6-Phosphate Dehydrogenase, and Lactate Dehydrogenase Isoenzyme Electrophoresis |
| |
| Cytogenetics |
Chromosome 11: TRANSLOCATION Breakpoint 11q21 t(6;11)11q21 |
|
Chromosome 6: TRANSLOCATION Breakpoint 6p23 t(6;11)6p23 |
| Remarks |
Product of conception fibroblast culture presumed to be maternal cell contamination; mother is carrier of t(6;11) and phenotypically normal |
| Passage Frozen |
5 |
| Split Ratio |
1:3 |
| Temperature |
37 C |
| Percent CO2 |
5% |
| Medium |
Eagle's Minimum Essential Medium with Earle's salts and non-essential amino acids with 2mM L-glutamine or equivalent |
| Serum |
15% fetal bovine serum Not inactivated |
| Substrate |
None specified |
| Subcultivation Method |
trypsin-EDTA |
| Supplement |
- |
|
|