Description:
TRANSLOCATED CHROMOSOME
|
Repository
|
NIGMS Human Genetic Cell Repository
|
| Subcollection |
Chromosome Abnormalities dbGaP |
|
Cell Type
|
Fibroblast
|
|
Transformant
|
Untransformed
|
|
Race
|
White
|
|
Relation to Proband
|
proband
|
|
Confirmation
|
Clinical summary/Case history
|
|
ISCN
|
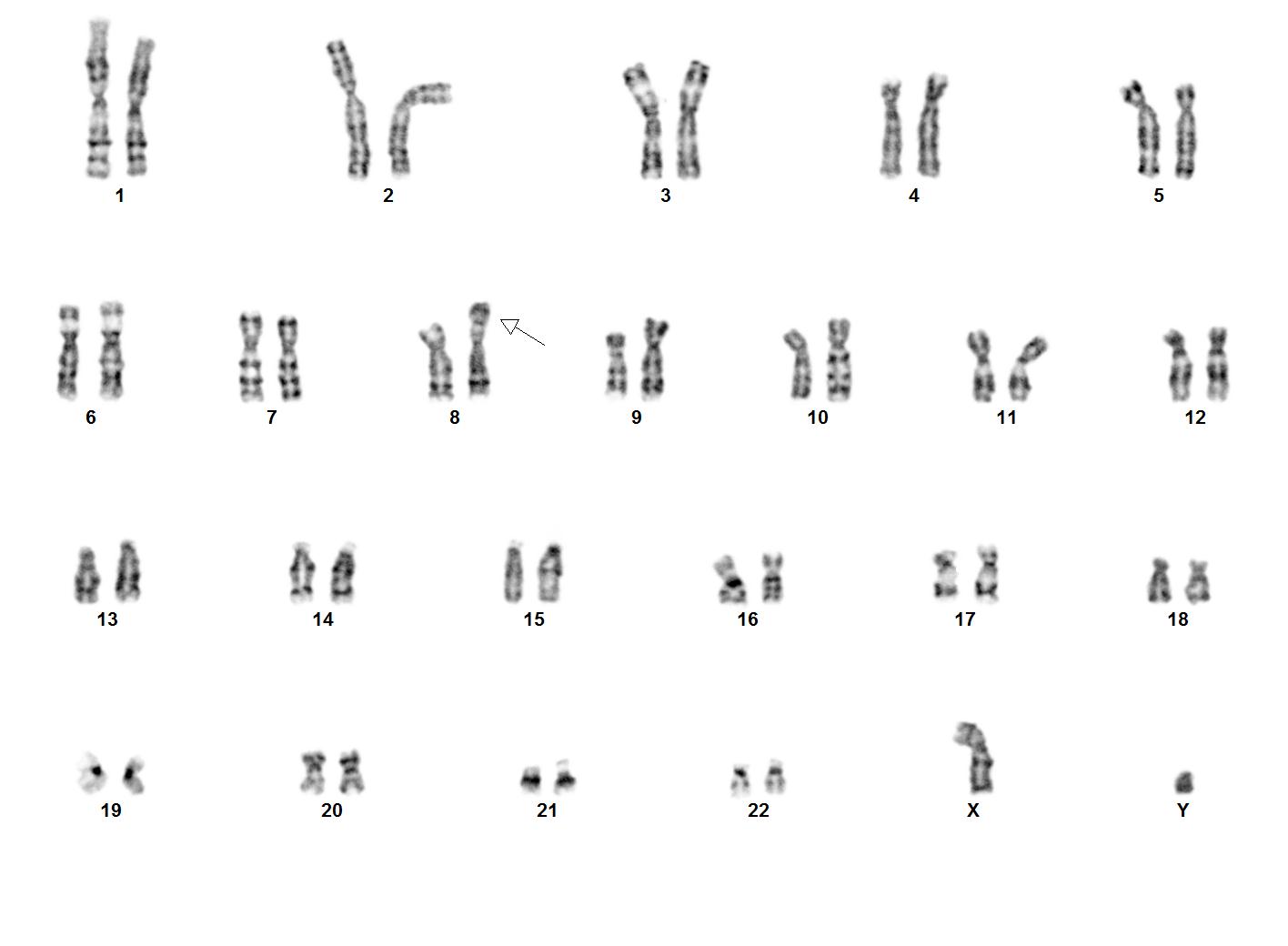
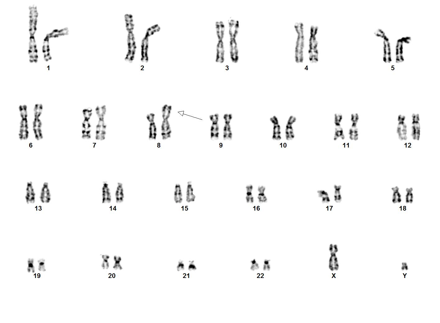
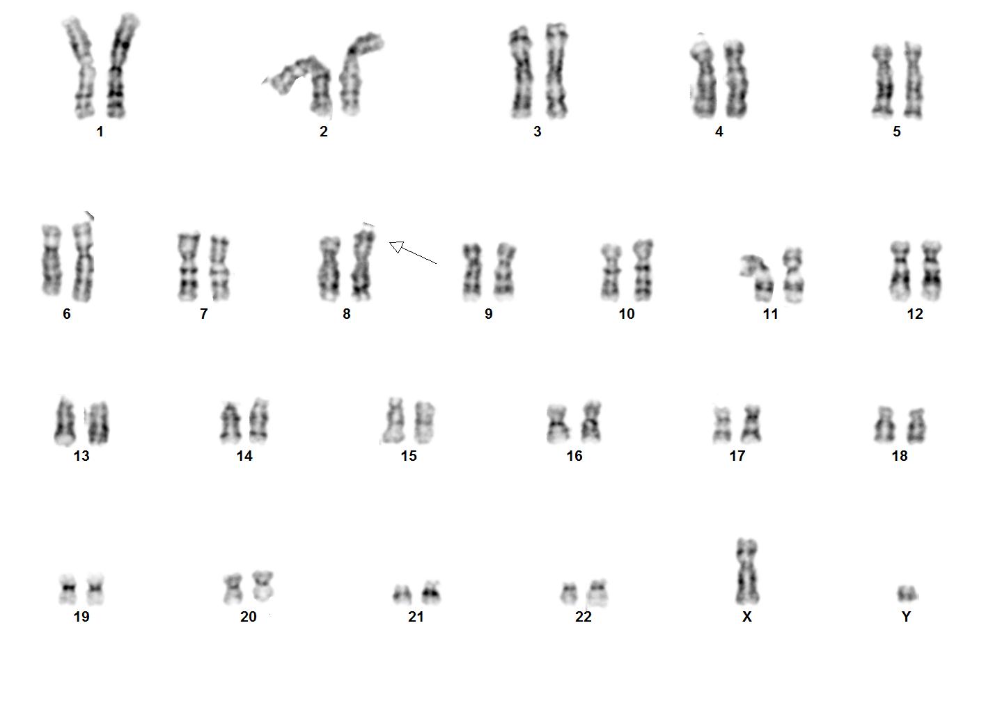
46,X,del(Y)(q12),der(8)t(Y;8)(q12;p23).ish del(Y)(q12)(Z43206+,D8S2333-),der(8)t(Y;8)(Z43206+,D8S2333-).arr 8p23.3p23.1(151221-7973253)x1,8p23.1p22(12551429-17139013)x3
|
|
Species
|
Homo sapiens
|
|
Common Name
|
Human
|
|
Remarks
|
|
| Passage Frozen |
3 |
| |
| IDENTIFICATION OF SPECIES OF ORIGIN |
Species of Origin Confirmed by Nucleoside Phosphorylase, Glucose-6-Phosphate Dehydrogenase, and Lactate Dehydrogenase Isoenzyme Electrophoresis and by Chromosome Analysis |
| |
| Cytogenetics |
Chromosome 8: TRANSLOCATION Breakpoint 8p23 t(Y;8)8p23 |
|
Chromosome Y: TRANSLOCATION Breakpoint Yq11 t(Y;8)Yq11 |
| Remarks |
Mental retardation; multiple metabolic problems; cannot determine cytogenetically if translocation is balanced or unbalanced |
| Tang Z, Berlin DS, Toji L, Toruner GA, Beiswanger C, Kulkarni S, Martin CL, Emanuel BS, Christman M, Gerry NP, A dynamic database of microarray-characterized cell lines with various cytogenetic and genomic backgrounds G3 (Bethesda, Md)3:1143-9 2013 |
| PubMed ID: 23665875 |
| View |
FISH Texas Red detects XqYq(Z43206), FITC detects 8pter(D8S2333), DAPI counterstain |
|
FISH Texas Red detects XqYq(Z43206), FITC detects 8pter(D8S2333), DAPI counterstain |
|
karyotype Texas Red detects XqYq(Z43206), FITC detects 8pter(D8S2333), DAPI counterstain |
|
karyotype Texas Red detects XqYq(Z43206), FITC detects 8pter(D8S2333), DAPI counterstain |
|
karyotype Texas Red detects XqYq(Z43206), FITC detects 8pter(D8S2333), DAPI counterstain |
| Passage Frozen |
3 |
| Split Ratio |
1:5 |
| Temperature |
37 C |
| Percent CO2 |
5% |
| Medium |
Eagle's Minimum Essential Medium with Earle's salts and non-essential amino acids with 2mM L-glutamine or equivalent |
| Serum |
15% fetal bovine serum Not inactivated |
| Substrate |
None specified |
| Subcultivation Method |
trypsin-EDTA |
| Supplement |
- |
|
|