GM12590
Amniotic fluid-derived cell line from Amniotic fluid
Description:
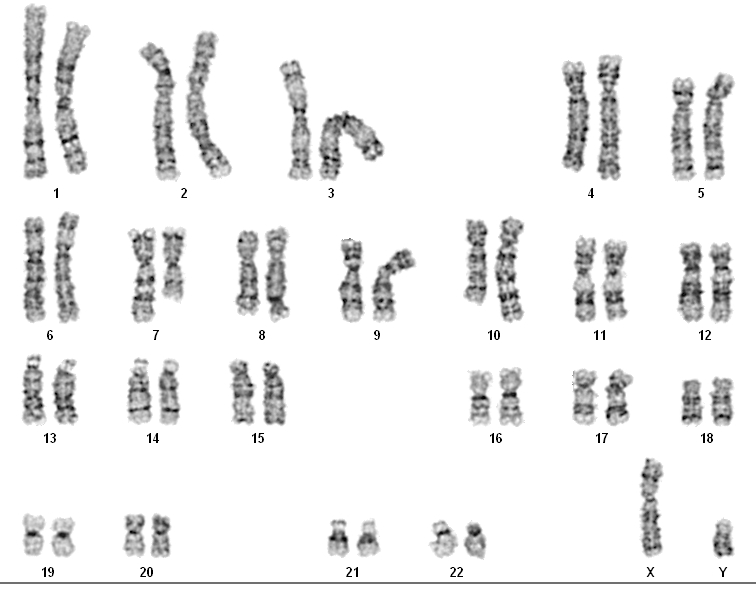
TRANSLOCATED CHROMOSOME
|
Repository
|
NIGMS Human Genetic Cell Repository
|
| Subcollection |
Chromosome Abnormalities dbGaP |
|
Biopsy Source
|
Amniotic fluid
|
|
Cell Type
|
Amniotic fluid-derived cell line
|
|
Transformant
|
Untransformed
|
|
Sample Source
|
Amniotic fluid-derived cell line from Amniotic fluid
|
|
Race
|
White
|
|
Relation to Proband
|
proband
|
|
Confirmation
|
Karyotypic analysis after cell line submission to CCR
|
|
ISCN
|
46,XY,der(7)del(7)(q11.22q21.1)t(7;10)(q11.22;q23.3),der(10)t(7;10)(q21.1;q23.3).arr[hg19] 7q11.22q21.12(70374402-86406083)x1
|
|
Species
|
Homo sapiens
|
|
Common Name
|
Human
|
|
Remarks
|
|
| PDL at Freeze |
6.13 |
| Passage Frozen |
2 |
| |
| IDENTIFICATION OF SPECIES OF ORIGIN |
Species of Origin Confirmed by Nucleoside Phosphorylase, Glucose-6-Phosphate Dehydrogenase, and Lactate Dehydrogenase Isoenzyme Electrophoresis |
| |
| Remarks |
Left renal agenesis; 46,XY,-7,-10, +der(10)t(7;10)(7pter>7q11.3::10q23.3> 10qter;10pter>10q23.3::7q21.1>7qter)mat, balanced |
| Tang Z, Berlin DS, Toji L, Toruner GA, Beiswanger C, Kulkarni S, Martin CL, Emanuel BS, Christman M, Gerry NP, A dynamic database of microarray-characterized cell lines with various cytogenetic and genomic backgrounds G3 (Bethesda, Md)3:1143-9 2013 |
| PubMed ID: 23665875 |
| Passage Frozen |
2 |
| Split Ratio |
1:6 |
| Temperature |
37 C |
| Percent CO2 |
5% |
| Percent O2 |
3% |
| Medium |
Amniotic Fluid Culture Medium |
| Serum |
15% fetal bovine serum Not inactivated |
| Substrate |
Commercially-treated plastic |
| Supplement |
- |
|
|