GM14239
LCL from B-Lymphocyte
Description:
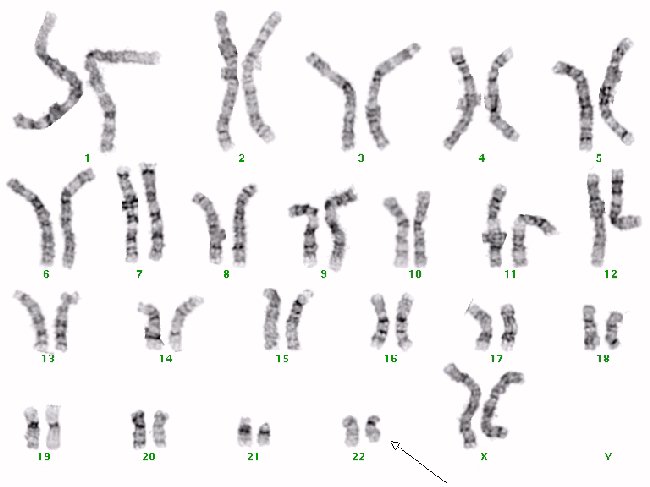
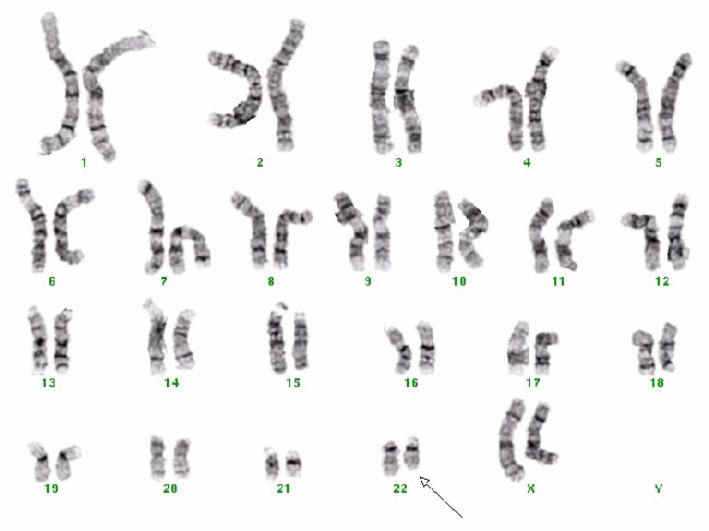
TRANSLOCATED CHROMOSOME
COPY NUMBER VARIATION (CNV) REFERENCE PANEL 02
|
Repository
|
NIGMS Human Genetic Cell Repository
|
| Subcollection |
Chromosome Abnormalities dbGaP |
|
Biopsy Source
|
Peripheral vein
|
|
Cell Type
|
B-Lymphocyte
|
|
Tissue Type
|
Blood
|
|
Transformant
|
Epstein-Barr Virus
|
|
Sample Source
|
LCL from B-Lymphocyte
|
|
Race
|
White
|
|
Ethnicity
|
HISPANIC
|
|
Relation to Proband
|
proband
|
|
Confirmation
|
Karyotypic analysis after cell line submission to CCR
|
|
ISCN
|
46,XX,del(22)(q13.3).ish del(22)(q13.3q13.3)(TUPLE1+,ARSA-,WCP11-,VIJ22072-).arr 6p22.3(16560387-16958159)x3,22q13.31q13.33(43447070-49581309)x1
|
|
Species
|
Homo sapiens
|
|
Common Name
|
Human
|
|
Remarks
|
|
| IDENTIFICATION OF SPECIES OF ORIGIN |
Species of Origin Confirmed by Nucleoside Phosphorylase, Glucose-6-Phosphate Dehydrogenase, and Lactate Dehydrogenase Isoenzyme Electrophoresis |
| |
| Remarks |
Dysmorphic facies; skull asymmetry; hydronephrosis; cortical atrophy |
| Tang Z, Berlin DS, Toji L, Toruner GA, Beiswanger C, Kulkarni S, Martin CL, Emanuel BS, Christman M, Gerry NP, A dynamic database of microarray-characterized cell lines with various cytogenetic and genomic backgrounds G3 (Bethesda, Md)3:1143-9 2013 |
| PubMed ID: 23665875 |
| Split Ratio |
1:5 |
| Temperature |
37 C |
| Percent CO2 |
5% |
| Medium |
Roswell Park Memorial Institute Medium 1640 with 2mM L-glutamine or equivalent |
| Serum |
15% fetal bovine serum Not Inactivated |
| Substrate |
None specified |
| Subcultivation Method |
dilution - add fresh medium |
| Supplement |
- |
|
|