GM20311
LCL from B-Lymphocyte
Description:
TRANSLOCATED CHROMOSOME
|
Repository
|
NIGMS Human Genetic Cell Repository
|
| Subcollection |
Chromosome Abnormalities dbGaP |
|
Biopsy Source
|
Peripheral vein
|
|
Cell Type
|
B-Lymphocyte
|
|
Tissue Type
|
Blood
|
|
Transformant
|
Epstein-Barr Virus
|
|
Sample Source
|
LCL from B-Lymphocyte
|
|
Race
|
White
|
|
Relation to Proband
|
proband
|
|
Confirmation
|
Karyotypic analysis before cell line submission to CCR
|
|
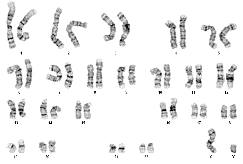
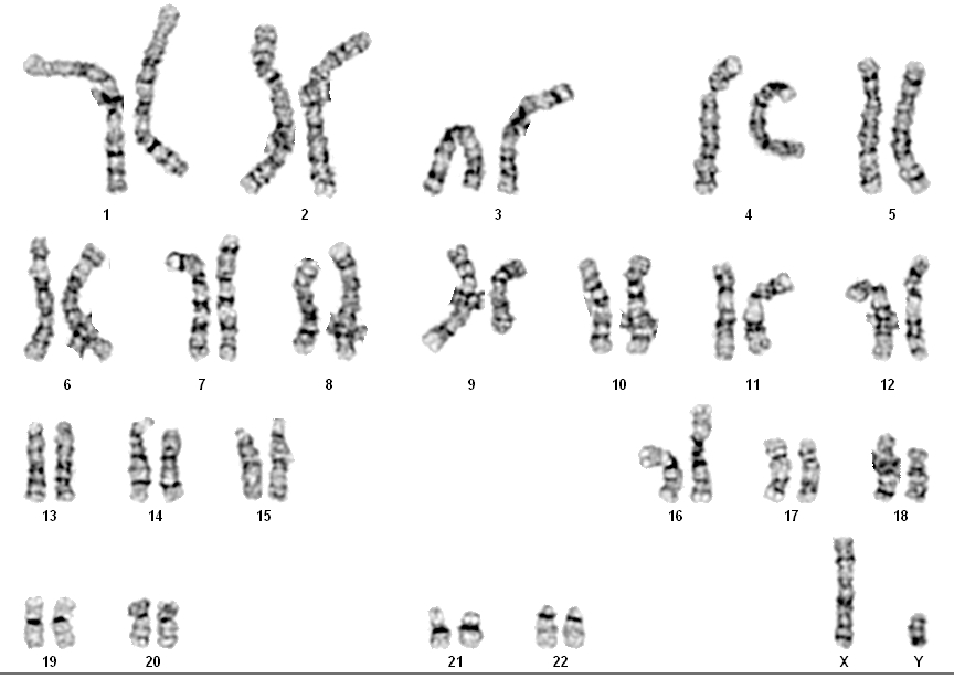
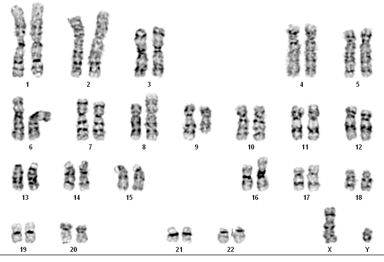
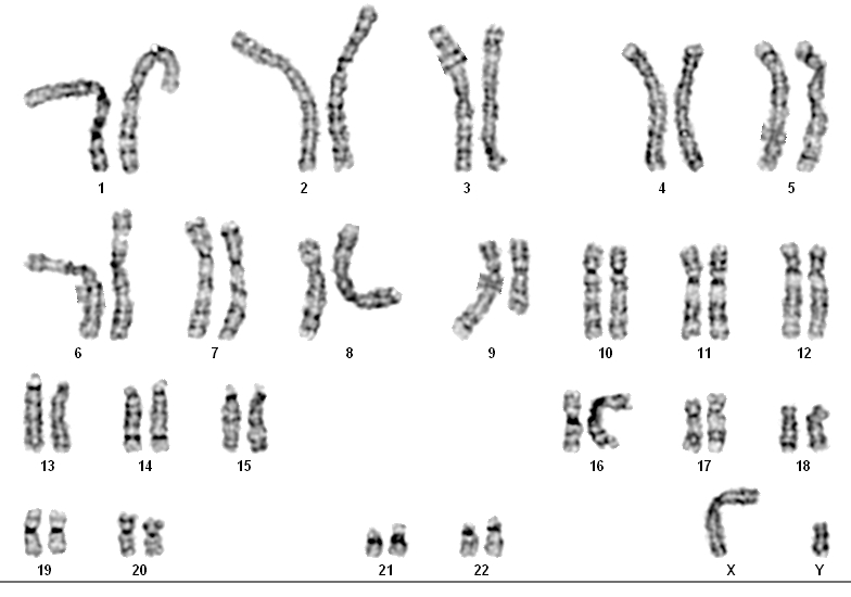
ISCN
|
46,XY,t(8;9)(p11.2;q13).arr(1-22)x2,(XY)x1
|
|
Species
|
Homo sapiens
|
|
Common Name
|
Human
|
|
Remarks
|
|
| IDENTIFICATION OF SPECIES OF ORIGIN |
Species of Origin confirmed by LINE assay |
| |
| Remarks |
Clinically affected with classic bladder exstrophy; no other congenital anomalies; no developmental delay; de novo reciprocal chromosome translocation present in subject; chromosome 9q13 breakpoint disrupts the 5' region of CNTNAP3. |
| Tang Z, Berlin DS, Toji L, Toruner GA, Beiswanger C, Kulkarni S, Martin CL, Emanuel BS, Christman M, Gerry NP, A dynamic database of microarray-characterized cell lines with various cytogenetic and genomic backgrounds G3 (Bethesda, Md)3:1143-9 2013 |
| PubMed ID: 23665875 |
| |
| Boyadjiev SA, South ST, Radford CL, Patel A, Zhang G, Hur DJ, Thomas GH, Gearhart JP, Stetten G, A reciprocal translocation 46,XY,t(8;9)(p11.2;q13) in a bladder exstrophy patient disrupts CNTNAP3 and presents evidence of a pericentromeric duplication on chromosome 9. Genomics85(5):622-9 2005 |
| PubMed ID: 15820314 |
| Split Ratio |
1:3 |
| Temperature |
37 C |
| Percent CO2 |
5% |
| Medium |
Roswell Park Memorial Institute Medium 1640 with 2mM L-glutamine or equivalent |
| Serum |
15% fetal bovine serum Not Inactivated |
| Substrate |
None specified |
| Subcultivation Method |
dilution - add fresh medium |
| Supplement |
- |
|
|