GM20486
Fibroblast from Skin, Unspecified
Description:
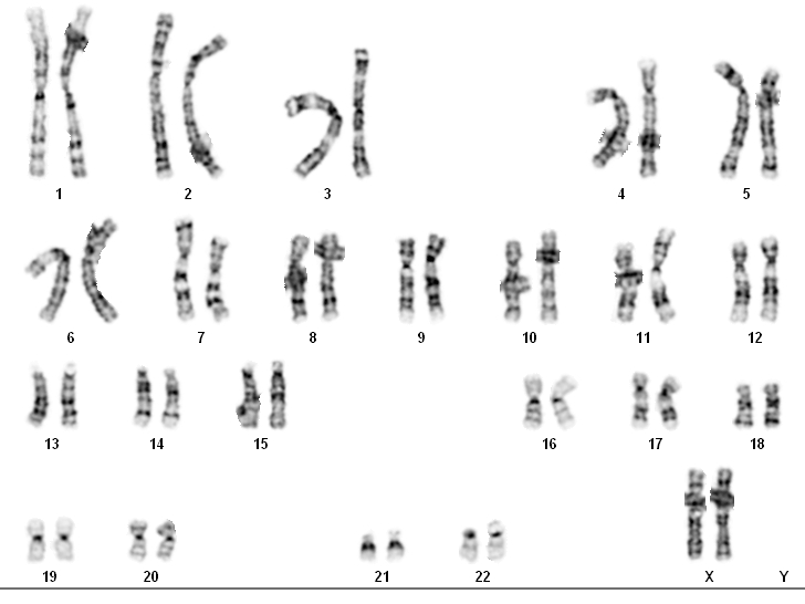
CHIMERA, 46,XY/46,XX
|
Repository
|
NIGMS Human Genetic Cell Repository
|
| Subcollection |
Chromosome Abnormalities |
|
Biopsy Source
|
Unspecified
|
|
Cell Type
|
Fibroblast
|
|
Tissue Type
|
Skin
|
|
Transformant
|
Untransformed
|
|
Sample Source
|
Fibroblast from Skin, Unspecified
|
|
Relation to Proband
|
proband
|
|
Confirmation
|
Karyotypic analysis before cell line submission to CCR
|
|
ISCN
|
46,XX[30]/46,XY[20]
|
|
Species
|
Homo sapiens
|
|
Common Name
|
Human
|
|
Remarks
|
|
| Passage Frozen |
6 |
| |
| IDENTIFICATION OF SPECIES OF ORIGIN |
Species of Origin confirmed by LINE assay |
| |
| Remarks |
Clinically affected; true hermaphrodite chimera; ambiguous genitalia noted via ultrasound at 22 weeks gestation; amniocentesis result showed 46,XX/46,XY on two occasions as did cordocentesis; delivery occurred at 37 weeks gestation; birth weight was 3625 g; ambiguous genitalia at birth characterized by clitoromegaly, prominent labia majora, apparent fusion of the labia, an orifice of the urogenital sinus, and palpable gonads in the bilateral inguinal areas; cystoscopic inspection through opening of urogenital sinus detected a urethral orifice, vagina, and cervix; lymphangioma over right arm; 46,XX/46,XY found on tissues including skin, placenta, and amniotic membrane; normal parental karyotypes; polymorphic DNA marker analysis revealed double paternal and single maternal contributions. |
| Chen CP, Chern SR, Sheu JC, Lin SP, Hsu CY, Chang TY, Lee CC, Wang W, Chen HE, Prenatal diagnosis, sonographic findings and molecular genetic analysis of a 46,XX/46,XY true hermaphrodite chimera. Prenat Diagn25(6):502-6 2005 |
| PubMed ID: 15966046 |
| Passage Frozen |
6 |
| Split Ratio |
1:6 |
| Temperature |
37 C |
| Percent CO2 |
5% |
| Medium |
Eagle's Minimum Essential Medium with Earle's salts and non-essential amino acids with 2mM L-glutamine or equivalent |
| Serum |
10% fetal bovine serum Not inactivated |
| Substrate |
None specified |
| Subcultivation Method |
trypsin-EDTA |
| Supplement |
- |
|
|