GM20571
LCL from B-Lymphocyte
Description:
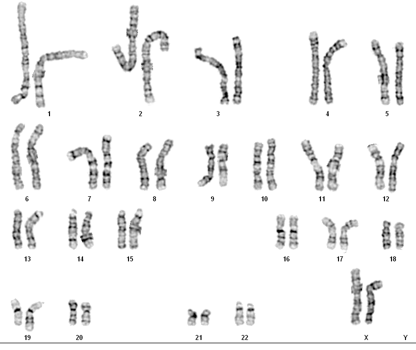
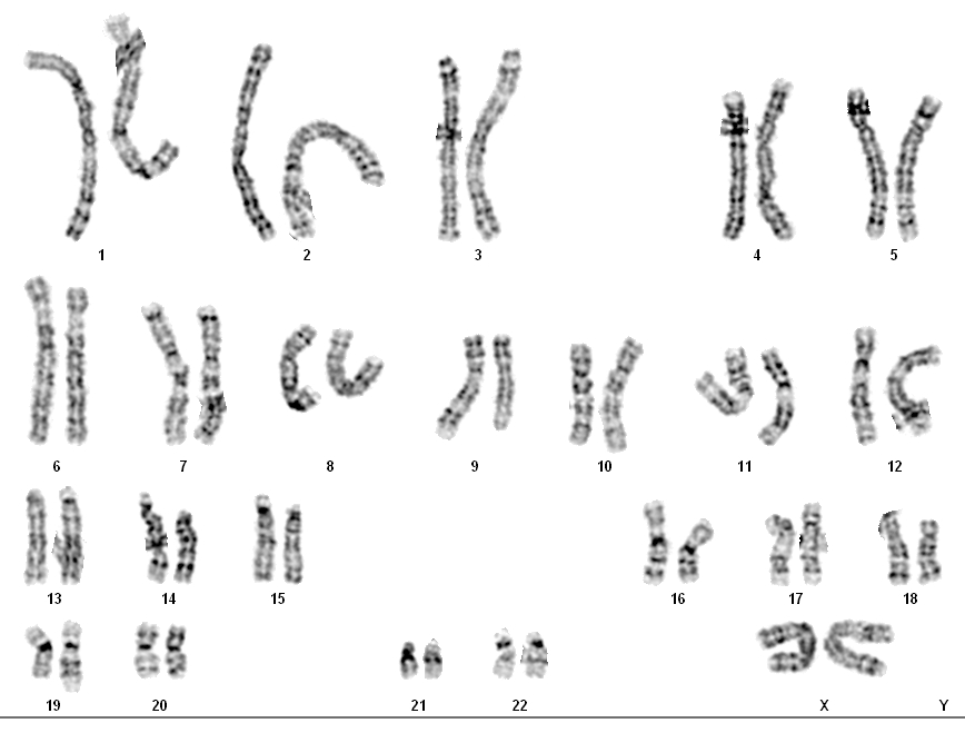
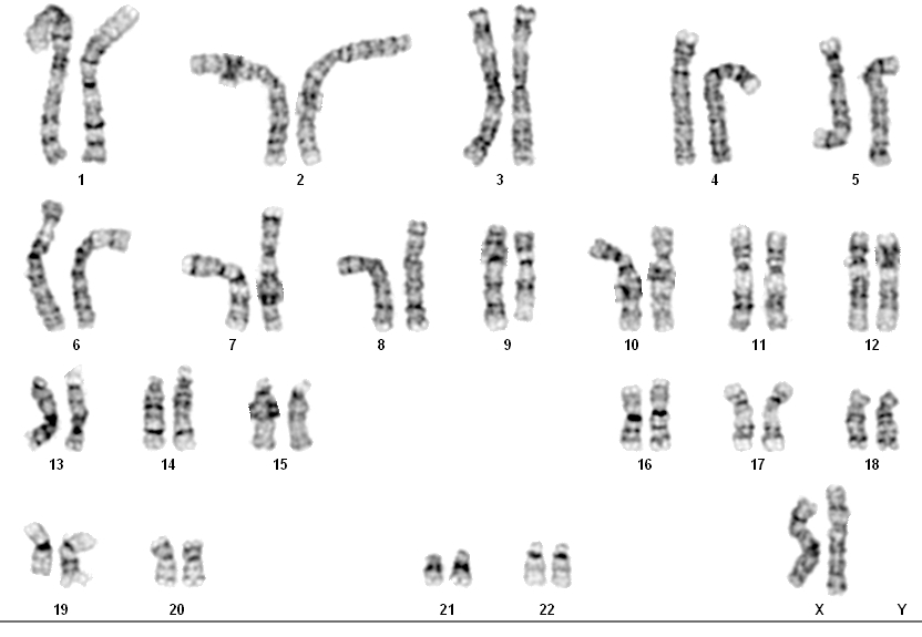
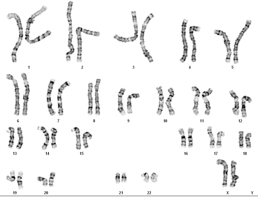
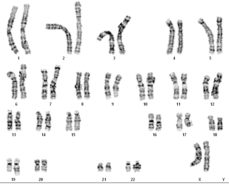
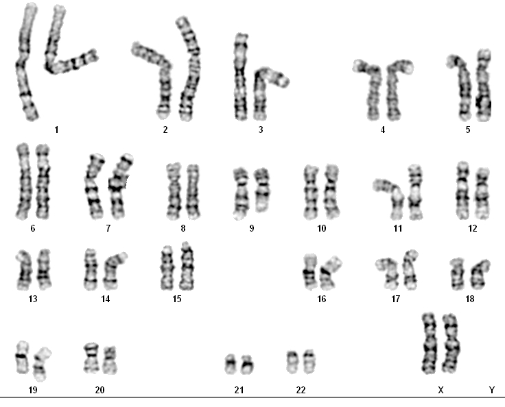
TRANSLOCATED CHROMOSOME
|
Repository
|
NIGMS Human Genetic Cell Repository
|
| Subcollection |
Chromosome Abnormalities DGAP dbGaP |
|
Biopsy Source
|
Peripheral vein
|
|
Cell Type
|
B-Lymphocyte
|
|
Tissue Type
|
Blood
|
|
Transformant
|
Epstein-Barr Virus
|
|
Sample Source
|
LCL from B-Lymphocyte
|
|
Race
|
White
|
|
Relation to Proband
|
proband
|
|
Confirmation
|
Karyotypic analysis before cell line submission to CCR
|
|
ISCN
|
46,XX,t(9;19)(q22.3;q13.1).arr(1-22,X)x2
|
|
Species
|
Homo sapiens
|
|
Common Name
|
Human
|
|
Remarks
|
|
| IDENTIFICATION OF SPECIES OF ORIGIN |
Species of Origin confirmed by LINE assay |
| |
| Cytogenetics |
Chromosome 19: TRANSLOCATION Breakpoint 19q13.1 |
|
Chromosome 9: TRANSLOCATION Breakpoint 9q22.3 |
| Remarks |
Developmental delay; obesity; erythematous pustular lesions on skin exam; behavioral issues; dysmorphic features; fragile X testing was negative; Prader-Willi methylation studies were also negative |
| Tang Z, Berlin DS, Toji L, Toruner GA, Beiswanger C, Kulkarni S, Martin CL, Emanuel BS, Christman M, Gerry NP, A dynamic database of microarray-characterized cell lines with various cytogenetic and genomic backgrounds G3 (Bethesda, Md)3:1143-9 2013 |
| PubMed ID: 23665875 |
| Split Ratio |
1:3 |
| Temperature |
37 C |
| Percent CO2 |
5% |
| Medium |
Roswell Park Memorial Institute Medium 1640 with 2mM L-glutamine or equivalent |
| Serum |
15% fetal bovine serum Not Inactivated |
| Substrate |
None specified |
| Subcultivation Method |
dilution - add fresh medium |
| Supplement |
- |
|
|