GM20916
LCL from B-Lymphocyte
Description:
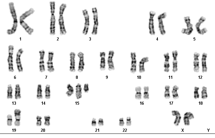
ISODICENTRIC CHROMOSOME
|
Repository
|
NIGMS Human Genetic Cell Repository
|
| Subcollection |
Chromosome Abnormalities dbGaP |
|
Biopsy Source
|
Peripheral vein
|
|
Cell Type
|
B-Lymphocyte
|
|
Tissue Type
|
Blood
|
|
Transformant
|
Epstein-Barr Virus
|
|
Sample Source
|
LCL from B-Lymphocyte
|
|
Race
|
White
|
|
Relation to Proband
|
proband
|
|
Confirmation
|
Karyotypic analysis after cell line submission to CCR
|
|
ISCN
|
47,XX,+idic(15)(q13),der(19)t(X;19)(q21;p13)[6]/46,XX,idic(15)(q13)[3]/46,XX,idic(15)(q13),r(8)[1].ish 8p23.3p23.3(D8S2333x2),8q24.3q24.2(VIJ2yRM2053x2).arr Xq21.33q28(95392004-153561333)x2˜3,4q35.1q35.2(182999117-191210542)x2˜3,15q11.1q13.3(18276328-30436012)x4
|
|
Species
|
Homo sapiens
|
|
Common Name
|
Human
|
|
Remarks
|
|
| IDENTIFICATION OF SPECIES OF ORIGIN |
Species of Origin confirmed by LINE assay |
| |
| Cytogenetics |
Chromosome 15: DICENTRIC CHROMOSOME Aneuploid Segment (+)15pter>15q13 |
|
Chromosome X: ANEUPLOID Aneuploid Segment (+)Xq21.33>Xqter |
| Remarks |
Clinically affected; meets criteria for autism on ADOS-G on both social and communication scales; does not meet criteria for autism on ADI-R; methylation analysis at SNRPN locus shows duplication is of maternal origin. |
| Tang Z, Berlin DS, Toji L, Toruner GA, Beiswanger C, Kulkarni S, Martin CL, Emanuel BS, Christman M, Gerry NP, A dynamic database of microarray-characterized cell lines with various cytogenetic and genomic backgrounds G3 (Bethesda, Md)3:1143-9 2013 |
| PubMed ID: 23665875 |
| View |
FISH Spectrum Green = D15Z1 ; Spectrum Orange = GABRB3 |
|
FISH Spectrum Green = D15Z1 ; Spectrum Orange = GABRB3 |
|
FISH Spectrum Green = D15Z1 ; Spectrum Orange = D15S11 |
|
FISH Spectrum Green = D15Z1 ; Spectrum Orange = D15S11 |
|
FISH Spectrum Green = 4qter ; Spectrum Orange = Xpter |
|
FISH Spectrum Green = 4qter ; Spectrum Orange = Xpter |
|
karyotype Spectrum Green = 4qter ; Spectrum Orange = Xpter |
| Split Ratio |
1:3 |
| Temperature |
37 C |
| Percent CO2 |
5% |
| Percent O2 |
AMBIENT |
| Medium |
Roswell Park Memorial Institute Medium 1640 with 2mM L-glutamine or equivalent |
| Serum |
15% fetal bovine serum Not Inactivated |
| Substrate |
None specified |
| Supplement |
- |
|
|