GM21073
LCL from B-Lymphocyte
Description:
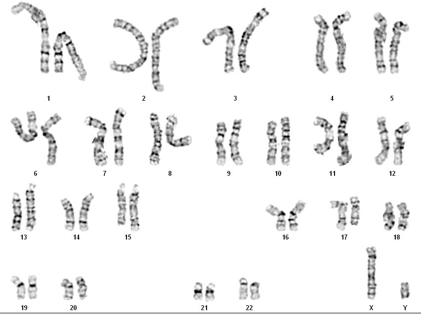
TRANSLOCATED CHROMOSOME
|
Repository
|
NIGMS Human Genetic Cell Repository
|
| Subcollection |
Chromosome Abnormalities DGAP dbGaP |
|
Biopsy Source
|
Peripheral vein
|
|
Cell Type
|
B-Lymphocyte
|
|
Tissue Type
|
Blood
|
|
Transformant
|
Epstein-Barr Virus
|
|
Sample Source
|
LCL from B-Lymphocyte
|
|
Race
|
Asian
|
|
Relation to Proband
|
proband
|
|
Confirmation
|
Karyotypic analysis after cell line submission to CCR
|
|
ISCN
|
46,XY,t(15;17)(q24;q21.3).ish t(15;17)(PML+,D15S936-,RARA-,D17S2200+;PML-,RARA+,D15S936+,D17S2200-).arr(1-22)x2,(XY)x1
|
|
Species
|
Homo sapiens
|
|
Common Name
|
Human
|
|
Remarks
|
|
| IDENTIFICATION OF SPECIES OF ORIGIN |
Species of Origin confirmed by LINE assay |
| |
| Cytogenetics |
Chromosome 15: TRANSLOCATION Breakpoint 15q24 |
|
Chromosome 17: TRANSLOCATION Breakpoint 17q21.3 |
| Remarks |
Developmental delay; tracheoesophageal fistual, surgically corrected; smaller left jaw; overbite; braces for malocculusion; right maxillary hypoplasia; anti-mongoloid slant; mild scoliosis; learning disabilities; auditory processing difficulty; fine/gross motor delay; bilateral hearing deficiency (conductive); narrow isthmus at the bony cartilagenous junction in the external canal; perilymph fistula? |
| Tang Z, Berlin DS, Toji L, Toruner GA, Beiswanger C, Kulkarni S, Martin CL, Emanuel BS, Christman M, Gerry NP, A dynamic database of microarray-characterized cell lines with various cytogenetic and genomic backgrounds G3 (Bethesda, Md)3:1143-9 2013 |
| PubMed ID: 23665875 |
| Split Ratio |
1:2 |
| Temperature |
37 C |
| Percent CO2 |
5% |
| Percent O2 |
AMBIENT |
| Medium |
Roswell Park Memorial Institute Medium 1640 with 2mM L-glutamine or equivalent |
| Serum |
15% fetal bovine serum Not Inactivated |
| Substrate |
None specified |
| Subcultivation Method |
dilution - add fresh medium |
| Supplement |
- |
|
|