GM21729
LCL from B-Lymphocyte
Description:
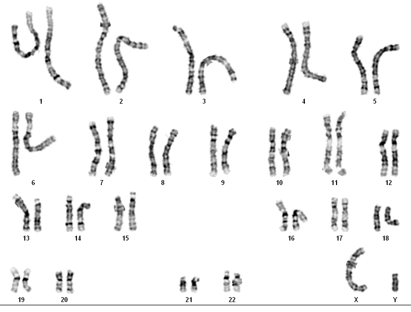
CHROMOSOME DELETION
|
Repository
|
NIGMS Human Genetic Cell Repository
|
| Subcollection |
Chromosome Abnormalities dbGaP |
|
Biopsy Source
|
Peripheral vein
|
|
Cell Type
|
B-Lymphocyte
|
|
Tissue Type
|
Blood
|
|
Transformant
|
Epstein-Barr Virus
|
|
Sample Source
|
LCL from B-Lymphocyte
|
|
Ethnicity
|
Hispanic/Latino
|
|
Ethnicity
|
MEXICAN
|
|
Relation to Proband
|
proband
|
|
Confirmation
|
Karyotypic analysis after cell line submission to CCR
|
|
ISCN
|
46,XY,del(13)(q31q31).arr 13q31.1q31.3(81513009-93319757)x1
|
|
Species
|
Homo sapiens
|
|
Common Name
|
Human
|
|
Remarks
|
|
| IDENTIFICATION OF SPECIES OF ORIGIN |
Species of Origin confirmed by LINE assay |
| |
| Cytogenetics |
Chromosome 13: DELETION Aneuploid Segment (-)13q22>13q31 |
| Remarks |
Intrauterine growth retardation detected in last trimester; developmental delay: walked at age 2 years; talked at age 4 years and achieved sphincter control at 5 years; malar and mid-face hypoplasia; depressed nasal bridge; micrognathia; cubitus valgus; small hands with irregular brachydactyly more pronounced in the 1st and 5th digits; short toes; pes cavus; mild scoliosis; coxa valga; lumbar spina bifida occulta |
| Walters-Sen L, Neitzel D, Bristow SL, Mitchell A, Alouf CA, Aradhya S, Faulkner N, Experience analysing over 190,000 embryo trophectoderm biopsies using a novel FAST-SeqS preimplantation genetic testing assay Reproductive biomedicine online44:228-238 2022 |
| PubMed ID: 35039224 |
| |
| Tang Z, Berlin DS, Toji L, Toruner GA, Beiswanger C, Kulkarni S, Martin CL, Emanuel BS, Christman M, Gerry NP, A dynamic database of microarray-characterized cell lines with various cytogenetic and genomic backgrounds G3 (Bethesda, Md)3:1143-9 2013 |
| PubMed ID: 23665875 |
| |
| Morales JA, Mendizabal AP, Vásquez AI, Figuera LE, González-García JR, Interstitial deletion of 13q22-->q31: case report and review of the literature Clinical dysmorphology15:139-43 2006 |
| PubMed ID: 16760731 |
| Split Ratio |
1:5 |
| Temperature |
37 C |
| Percent CO2 |
5% |
| Percent O2 |
AMBIENT |
| Medium |
Roswell Park Memorial Institute Medium 1640 with 2mM L-glutamine or equivalent |
| Serum |
15% fetal bovine serum Not Inactivated |
| Substrate |
None specified |
| Subcultivation Method |
dilution - add fresh medium |
| Supplement |
- |
|
|