GM21878
Fibroblast from Skin, Unspecified
Description:
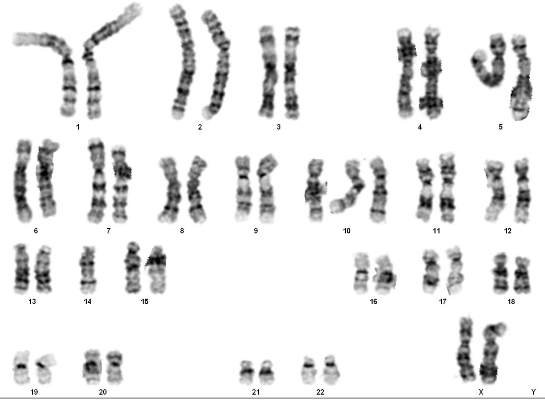
DERIVATIVE CHROMOSOME
|
Repository
|
NIGMS Human Genetic Cell Repository
|
| Subcollection |
Chromosome Abnormalities dbGaP |
|
Biopsy Source
|
Unspecified
|
|
Cell Type
|
Fibroblast
|
|
Tissue Type
|
Skin
|
|
Transformant
|
Untransformed
|
|
Sample Source
|
Fibroblast from Skin, Unspecified
|
|
Relation to Proband
|
proband
|
|
Confirmation
|
Karyotypic analysis after cell line submission to CCR
|
|
ISCN
|
46,XX,+der(10)t(10;14)(q11.2;q11.2),-14.ish der(10)t(10;14)(q11.2;q11.2)(D10Z1+,D14Z1-).arr 10p15.3q11.22(62796-49675196)x3,10q11.23(50867131-51265841)x3,14q11.1q11.2(18072111-20654824)x1
|
|
Species
|
Homo sapiens
|
|
Common Name
|
Human
|
| PDL at Freeze |
7.16 |
| |
| IDENTIFICATION OF SPECIES OF ORIGIN |
Species of Origin confirmed by LINE assay |
| |
| Cytogenetics |
Chromosome 10: DERIVATIVE CHROMOSOME Aneuploid Segment (+)10pter>10q11.2 |
|
Chromosome 14: DERIVATIVE CHROMOSOME Aneuploid Segment (-)14pter>14q11.2 |
| Tang Z, Berlin DS, Toji L, Toruner GA, Beiswanger C, Kulkarni S, Martin CL, Emanuel BS, Christman M, Gerry NP, A dynamic database of microarray-characterized cell lines with various cytogenetic and genomic backgrounds G3 (Bethesda, Md)3:1143-9 2013 |
| PubMed ID: 23665875 |
| Split Ratio |
1:3 |
| Temperature |
37 C |
| Percent CO2 |
10% |
| Percent O2 |
AMBIENT |
| Medium |
Dulbecco Modified Eagles Medium (high glucose) with 2mM L-glutamine or equivalent |
| Serum |
10% fetal bovine serum Not inactivated |
| Substrate |
None specified |
| Supplement |
- |
|
|