GM21886
LCL from B-Lymphocyte
Description:
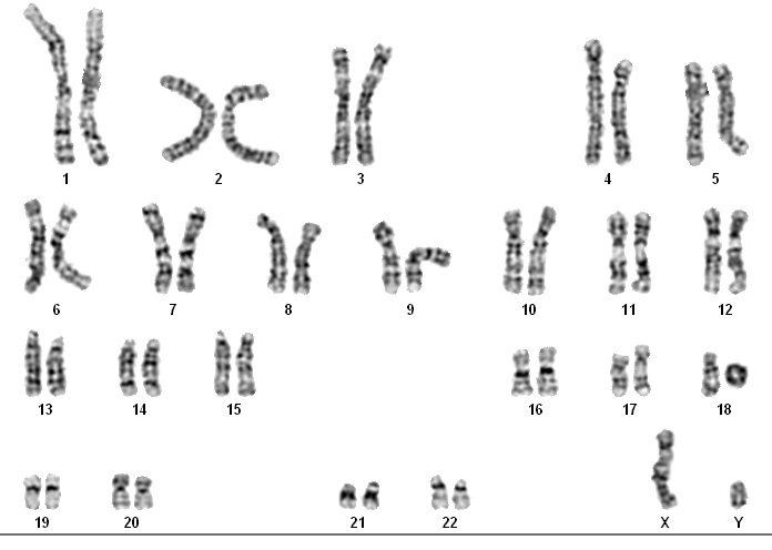
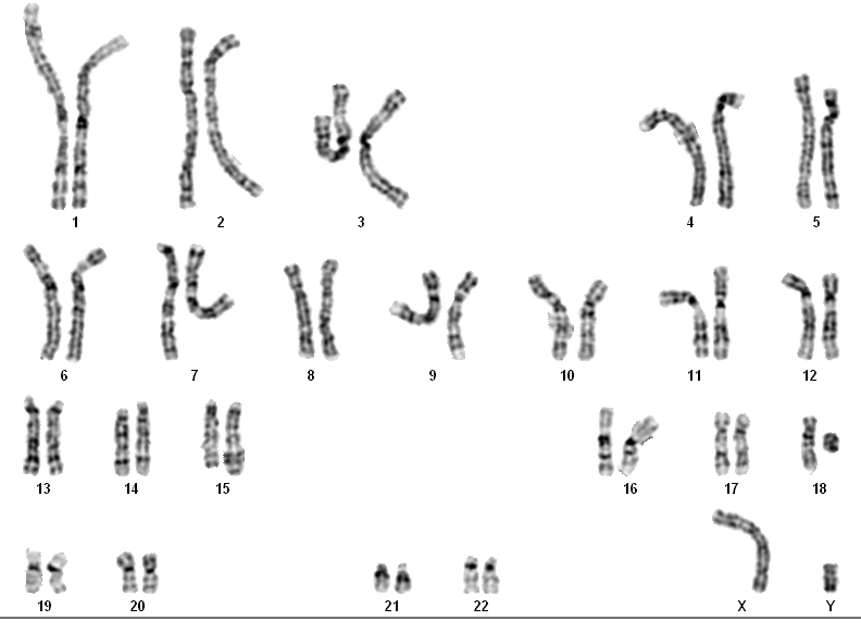
RING CHROMOSOME
|
Repository
|
NIGMS Human Genetic Cell Repository
|
| Subcollection |
Chromosome Abnormalities dbGaP |
|
Biopsy Source
|
Peripheral vein
|
|
Cell Type
|
B-Lymphocyte
|
|
Tissue Type
|
Blood
|
|
Transformant
|
Epstein-Barr Virus
|
|
Sample Source
|
LCL from B-Lymphocyte
|
|
Relation to Proband
|
proband
|
|
Confirmation
|
Karyotypic analysis after cell line submission to CCR
|
|
ISCN
|
46,XY,r(18)(p11q21).arr 1q43(235297912-235507776)x3,2q12.1(100340055-100442478)x3,4q31.21(144920304-145032840)x1,18p11.32q11.1(1542-16805844)x1,18q21.2(50074209-50627694)x1,18q21.2q23(50763121-76116029)x1
|
|
Species
|
Homo sapiens
|
|
Common Name
|
Human
|
| IDENTIFICATION OF SPECIES OF ORIGIN |
Species of Origin confirmed by LINE assay |
| |
| Cytogenetics |
Chromosome 18: RING CHROMOSOME Aneuploid Segment (-)18pter>18p11 |
|
Chromosome 18: RING CHROMOSOME Aneuploid Segment (-)18q21>18qter |
| Devonshire AS, Morata J, Jubin C, Abreu Pereira RP, Hernandez-Hernandez L, Yener D, Cabannes E, McGinn S, Delepine M, Fund C, Tonda R, Heath S, Dabad M, Gutierrez-Cuesta J, Sanchez Escudero I, Frias-Lopez MC, Cowen S, Whale A, Voss T, Deleuze JF, Gut I, Gut M, Foy CA, Interlaboratory evaluation of high molecular weight DNA extraction methods for long-read sequencing and structural variant analysis BMC genomics26:698 2025 |
| PubMed ID: 40722061 |
| |
| Andrew M. Gross PhD, Subramanian S. Ajay PhD, Vani Rajan MS, Carolyn Brown CGC, Krista Bluske PhD, Nicole J. Burns MS, Aditi Chawla PhD, Alison J. Coffey PhD, Alka Malhotra PhD, Alicia Scocchia MS CGC, Erin Thorpe MS CGC, Natasa Dzidic MS, Karine Hovanes PhD FACMG, Trilochan Sahoo MD FACMG, Egor Dolzhenko PhD, Bryan Lajoie PhD, Amirah Khouzam MS CGC, Shimul Chowdhury PhD FACMG, John Belmont MD PhD, Eric Roller PhD, Sergii Ivakhno PhD, Stephen Tanner PhD, Julia McEachern PA MHS, Tina Hambuch PhD FACMG, Michael Eberle PhD, R. Tanner Hagelstrom PhD FACMG, David R. Bentley PhD, Denise L. Perry MS CGC & Ryan J. Taft PhD, Copy-number variants in clinical genome sequencing: deployment and interpretation for rare and undiagnosed disease Genetics in Medicine26:698 2018 |
| PubMed ID: 30293986 |
| |
| Tang Z, Berlin DS, Toji L, Toruner GA, Beiswanger C, Kulkarni S, Martin CL, Emanuel BS, Christman M, Gerry NP, A dynamic database of microarray-characterized cell lines with various cytogenetic and genomic backgrounds G3 (Bethesda, Md)3:1143-9 2013 |
| PubMed ID: 23665875 |
| Split Ratio |
1:5 |
| Temperature |
37 C |
| Percent CO2 |
5% |
| Percent O2 |
AMBIENT |
| Medium |
Roswell Park Memorial Institute Medium 1640 with 2mM L-glutamine or equivalent |
| Serum |
15% fetal bovine serum Not Inactivated |
| Substrate |
None specified |
| Subcultivation Method |
dilution - add fresh medium |
| Supplement |
- |
|
|