GM22569
LCL from B-Lymphocyte
Description:
CHROMOSOME 1P36 DELETION SYNDROME
CHROMOSOME DELETION
|
Repository
|
NIGMS Human Genetic Cell Repository
|
| Subcollection |
Chromosome Abnormalities dbGaP |
|
Biopsy Source
|
Peripheral vein
|
|
Cell Type
|
B-Lymphocyte
|
|
Tissue Type
|
Blood
|
|
Transformant
|
Epstein-Barr Virus
|
|
Sample Source
|
LCL from B-Lymphocyte
|
|
Race
|
Hispanic/Latino
|
|
Ethnicity
|
Hispanic/Latino
|
|
Family History
|
N
|
|
Relation to Proband
|
proband
|
|
Confirmation
|
Karyotypic analysis after cell line submission to CCR
|
|
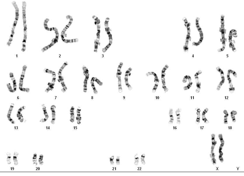
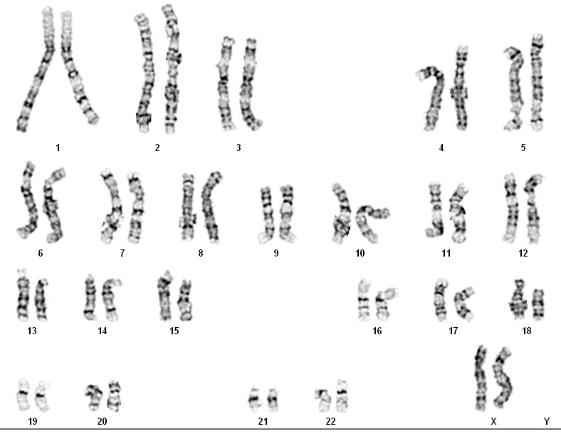
ISCN
|
46,XX,del(1)(p36.3).ish del(1)(p36.3)(SKI-,D1S3739+).arr 1p36.33p36.31(615320-6255256)x1
|
|
Species
|
Homo sapiens
|
|
Common Name
|
Human
|
| IDENTIFICATION OF SPECIES OF ORIGIN |
Species of Origin confirmed by LINE assay |
| |
| Cytogenetics |
Chromosome 1: DELETION Aneuploid Segment (-)1pter>1p36.3 |
| Tang Z, Berlin DS, Toji L, Toruner GA, Beiswanger C, Kulkarni S, Martin CL, Emanuel BS, Christman M, Gerry NP, A dynamic database of microarray-characterized cell lines with various cytogenetic and genomic backgrounds G3 (Bethesda, Md)3:1143-9 2013 |
| PubMed ID: 23665875 |
| View |
FISH Spectrum Green detects D1S3739 ; Spectrum Orange detects SKI |
|
FISH Spectrum Green detects CEB108/T7 ; Spectrum Orange detects D1S3738 |
|
karyotype DNA Expansion |
|
karyotype DNA Expansion |
| Split Ratio |
1:3 |
| Temperature |
37 C |
| Percent CO2 |
5% |
| Percent O2 |
AMBIENT |
| Medium |
Roswell Park Memorial Institute Medium 1640 with 2mM L-glutamine or equivalent |
| Serum |
15% fetal bovine serum Not Inactivated |
| Substrate |
None specified |
| Subcultivation Method |
dilution - add fresh medium |
| Supplement |
- |
|
|