GM22894
LCL from B-Lymphocyte
Description:
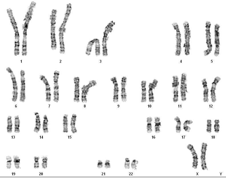
DUPLICATED CHROMOSOME
INVERTED CHROMOSOME
CHROMOSOME 15Q11-Q13 DUPLICATION SYNDROME
|
Repository
|
NIGMS Human Genetic Cell Repository
|
| Subcollection |
Chromosome Abnormalities |
|
Biopsy Source
|
Peripheral vein
|
|
Cell Type
|
B-Lymphocyte
|
|
Tissue Type
|
Blood
|
|
Transformant
|
Epstein-Barr Virus
|
|
Sample Source
|
LCL from B-Lymphocyte
|
|
Race
|
White
|
|
Country of Origin
|
USA
|
|
Family History
|
N
|
|
Relation to Proband
|
proband
|
|
Confirmation
|
Karyotypic analysis after cell line submission to CCR
|
|
ISCN
|
46,XX,inv(9)(p11q13),dup(15)(q11.2q13).arr 15q11.2q13.1(18906577-26757821)x3
|
|
Species
|
Homo sapiens
|
|
Common Name
|
Human
|
|
Remarks
|
|
| IDENTIFICATION OF SPECIES OF ORIGIN |
Species of Origin Confirmed by LINE assay |
| |
| Cytogenetics |
Chromosome 15: DUPLICATION Aneuploid Segment (+)15q11.2->15q12 |
| Remarks |
Clinically affected; examination at 11 years old reports: autism, ADOS calibrated severity score of 10, IQ of 89, normal EEG, round face, short bulbous nose, anteverted nares, long philtrum, full cheeks, diabetes mellitus, nasal labial folds assymmetry; 6.5 mb de novo 15q interstitial duplication of maternal origin; refer to patient 801-008 as described by Urraca et al PMID: 23495136. |
| Tang Z, Berlin DS, Toji L, Toruner GA, Beiswanger C, Kulkarni S, Martin CL, Emanuel BS, Christman M, Gerry NP, A dynamic database of microarray-characterized cell lines with various cytogenetic and genomic backgrounds G3 (Bethesda, Md)3:1143-9 2013 |
| PubMed ID: 23665875 |
| |
| Urraca N, Cleary J, Brewer V, Pivnick EK, McVicar K, Thibert RL, Schanen NC, Esmer C, Lamport D, Reiter LT, The interstitial duplication 15q112-q13 syndrome includes autism, mild facial anomalies and a characteristic EEG signature Autism research : official journal of the International Society for Autism Research6:268-79 2012 |
| PubMed ID: 23495136 |
| Split Ratio |
1:4 |
| Temperature |
37 C |
| Percent CO2 |
5% |
| Percent O2 |
AMBIENT |
| Medium |
Roswell Park Memorial Institute Medium 1640 with 2mM L-glutamine or equivalent |
| Serum |
15% fetal bovine serum Not Inactivated |
| Substrate |
None specified |
| Subcultivation Method |
dilution - add fresh medium |
| Supplement |
- |
|
|