GM23433
LCL from B-Lymphocyte
Description:
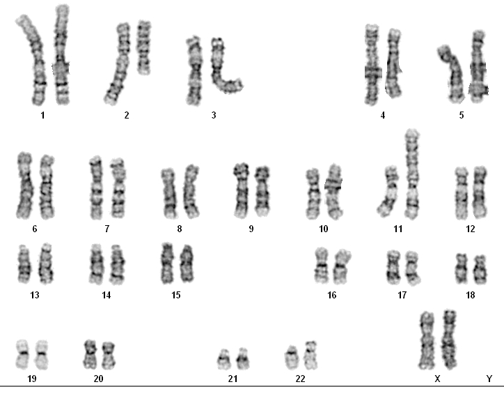
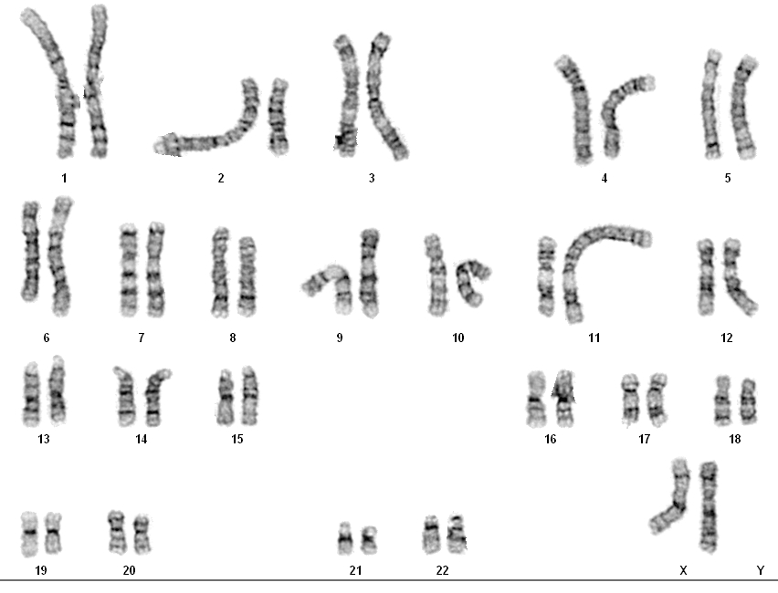
TRANSLOCATED CHROMOSOME
|
Repository
|
NIGMS Human Genetic Cell Repository
|
| Subcollection |
Chromosome Abnormalities DGAP |
|
Biopsy Source
|
Peripheral vein
|
|
Cell Type
|
B-Lymphocyte
|
|
Tissue Type
|
Blood
|
|
Transformant
|
Epstein-Barr Virus
|
|
Sample Source
|
LCL from B-Lymphocyte
|
|
Race
|
White
|
|
Ethnicity
|
Not Hispanic/Latino
|
|
Family History
|
N
|
|
Relation to Proband
|
proband
|
|
Confirmation
|
Karyotypic analysis before cell line submission to CCR
|
|
ISCN
|
46,XX,t(2;11)(q11.2;p13?p14.1).arr[hg19] 11p14.2p14.1(27099211-29945215)x1
|
|
Species
|
Homo sapiens
|
|
Common Name
|
Human
|
|
Remarks
|
|
| IDENTIFICATION OF SPECIES OF ORIGIN |
Species of Origin Confirmed by LINE assay |
| |
| Remarks |
Mild developmental delay (combined language and motor delay); major depression; generalized anxiety; sleep disturbance (sleep apnea due to obesity); self-injurious behaviors; agitation; tantrums; overgrowth (height, weight and head circumference above 95th percentile); male pattern hirsuitism (believed to be associated with a tentative diagnosis of polycystic ovarian syndrome, which her mother also has); one period and no further menstruation even with trials of OCP's; impaired glucose tolerance (but without evidence of type 2 diabetes); poor lipid profile (with elevated triglycerides, total cholesterol and low HDL); elevated testosterone; some deepening of the voice; history of one seizure at 2 years of age (not febrile); skin remarkable for eczema, moles and skin tags; dysmorphic features including bilateral epicanthal folds giving a saddle appearance to nasal bridge; nose small; complex malocclusion with upper teeth more narrow and frontal than lower; hands somewhat short; palms slightly hyperkeratotoic and sweaty; fifth finger brachydactyly and clinodactyly; right elbow has some minor extension limitation; hypoplastic toenails; short feet; and copper-colored verrucous lesions in intertriginous regions (acanthosis nigricans versus epidermal nevi) present on back, chest and neck |
| Tang Z, Berlin DS, Toji L, Toruner GA, Beiswanger C, Kulkarni S, Martin CL, Emanuel BS, Christman M, Gerry NP, A dynamic database of microarray-characterized cell lines with various cytogenetic and genomic backgrounds G3 (Bethesda, Md)3:1143-9 2013 |
| PubMed ID: 23665875 |
| |
| Higgins AW, Alkuraya FS, Bosco AF, Brown KK, Bruns GA, Donovan DJ, Eisenman R, Fan Y, Farra CG, Ferguson HL, Gusella JF, Harris DJ, Herrick SR, Kelly C, Kim HG, Kishikawa S, Korf BR, Kulkarni S, Lally E, Leach NT, Lemyre E, Lewis J, Ligon AH, Lu W, Maas RL, MacDonald ME, Moore SD, Peters RE, Quade BJ, Quintero-Rivera F, Saadi I, Shen Y, Shendure J, Williamson RE, Morton CC, Characterization of apparently balanced chromosomal rearrangements from the developmental genome anatomy project American journal of human genetics82:712-22 2007 |
| PubMed ID: 18319076 |
| Split Ratio |
1:4 |
| Temperature |
37 C |
| Percent CO2 |
5% |
| Percent O2 |
AMBIENT |
| Medium |
Roswell Park Memorial Institute Medium 1640 with 2mM L-glutamine or equivalent |
| Serum |
15% fetal bovine serum Not Inactivated |
| Substrate |
None specified |
| Subcultivation Method |
dilution - add fresh medium |
| Supplement |
- |
|
|