GM23488
LCL from B-Lymphocyte
Description:
MENTAL RETARDATION, AUTOSOMAL DOMINANT 1; MRD1
|
Repository
|
NIGMS Human Genetic Cell Repository
|
| Subcollection |
Heritable Diseases Chromosome Abnormalities |
|
Biopsy Source
|
Peripheral vein
|
|
Cell Type
|
B-Lymphocyte
|
|
Tissue Type
|
Blood
|
|
Transformant
|
Epstein-Barr Virus
|
|
Sample Source
|
LCL from B-Lymphocyte
|
|
Race
|
White
|
|
Ethnicity
|
Not Hispanic/Latino
|
|
Family Member
|
2
|
|
Family History
|
N
|
|
Relation to Proband
|
mother
|
|
Confirmation
|
Karyotypic analysis before cell line submission to CCR
|
|
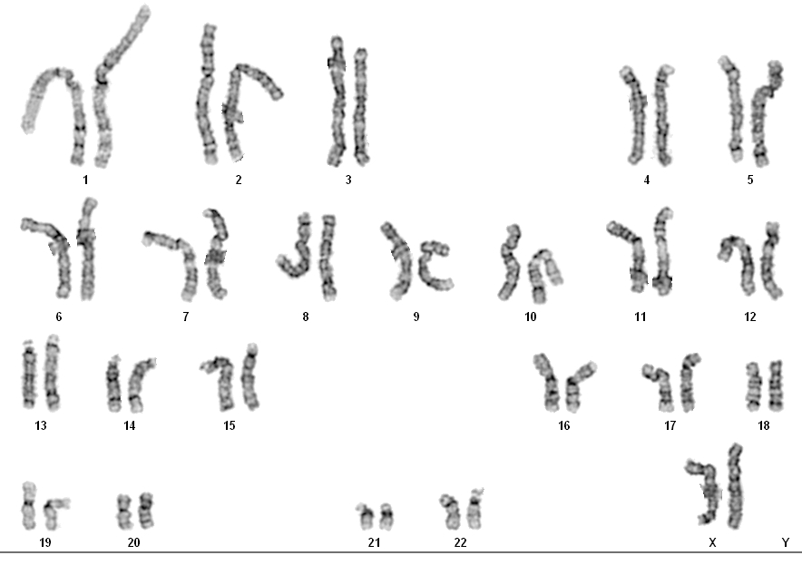
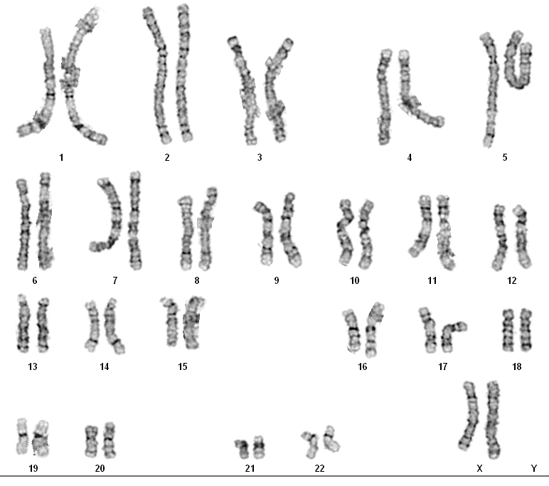
ISCN
|
46,XX.arr(1-22,X)x2
|
|
Species
|
Homo sapiens
|
|
Common Name
|
Human
|
|
Remarks
|
|
| IDENTIFICATION OF SPECIES OF ORIGIN |
Species of Origin Confirmed by LINE assay |
| |
| Remarks |
Clinically normal mother of an affected child (GM23489) |
| Tang Z, Berlin DS, Toji L, Toruner GA, Beiswanger C, Kulkarni S, Martin CL, Emanuel BS, Christman M, Gerry NP, A dynamic database of microarray-characterized cell lines with various cytogenetic and genomic backgrounds G3 (Bethesda, Md)3:1143-9 2013 |
| PubMed ID: 23665875 |
| Split Ratio |
1:3 |
| Temperature |
37 C |
| Percent CO2 |
5% |
| Percent O2 |
AMBIENT |
| Medium |
Roswell Park Memorial Institute Medium 1640 with 2mM L-glutamine or equivalent |
| Serum |
15% fetal bovine serum Not Inactivated |
| Substrate |
None specified |
| Subcultivation Method |
dilution - add fresh medium |
| Supplement |
- |
|
|