GM23701
LCL from B-Lymphocyte
Description:
TRANSLOCATED CHROMOSOME
|
Repository
|
NIGMS Human Genetic Cell Repository
|
| Subcollection |
Chromosome Abnormalities DGAP |
|
Biopsy Source
|
Peripheral vein
|
|
Cell Type
|
B-Lymphocyte
|
|
Tissue Type
|
Blood
|
|
Transformant
|
Epstein-Barr Virus
|
|
Sample Source
|
LCL from B-Lymphocyte
|
|
Race
|
Asian
|
|
Family History
|
N
|
|
Relation to Proband
|
proband
|
|
Confirmation
|
Karyotypic analysis after cell line submission to CCR
|
|
ISCN
|
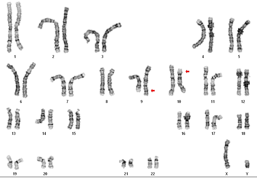
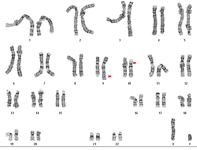
46,XY,t(9;10)(q33;p11.2).arr 4q31.22(145146544-145284974)x3,17q25.3(77003845-77115665)x3
|
|
Species
|
Homo sapiens
|
|
Common Name
|
Human
|
|
Remarks
|
|
| IDENTIFICATION OF SPECIES OF ORIGIN |
Species of Origin Confirmed by LINE assay |
| |
| Remarks |
Global developmental delay (combined language and motor delay); PDD-NOS; ADHD; thinn body habitus |
| Tang Z, Berlin DS, Toji L, Toruner GA, Beiswanger C, Kulkarni S, Martin CL, Emanuel BS, Christman M, Gerry NP, A dynamic database of microarray-characterized cell lines with various cytogenetic and genomic backgrounds G3 (Bethesda, Md)3:1143-9 2013 |
| PubMed ID: 23665875 |
| Split Ratio |
1:5 |
| Temperature |
37 C |
| Percent CO2 |
5% |
| Percent O2 |
AMBIENT |
| Medium |
Roswell Park Memorial Institute Medium 1640 with 2mM L-glutamine or equivalent |
| Serum |
30% fetal bovine serum Not Inactivated |
| Substrate |
None specified |
| Supplement |
- |
|
|