GM23712
LCL from B-Lymphocyte
Description:
MENTAL RETARDATION, AUTOSOMAL DOMINANT 1; MRD1
METHYL-CPG-BINDING DOMAIN PROTEIN 5; MBD5
CHROMOSOME DELETION
|
Repository
|
NIGMS Human Genetic Cell Repository
|
| Subcollection |
Apparently Healthy Collection |
|
Biopsy Source
|
Peripheral vein
|
|
Cell Type
|
B-Lymphocyte
|
|
Tissue Type
|
Blood
|
|
Transformant
|
Epstein-Barr Virus
|
|
Sample Source
|
LCL from B-Lymphocyte
|
|
Race
|
White
|
|
Ethnicity
|
Not Hispanic/Latino
|
|
Family Member
|
2
|
|
Family History
|
N
|
|
Relation to Proband
|
mother
|
|
Confirmation
|
Clinical summary/Case history
|
|
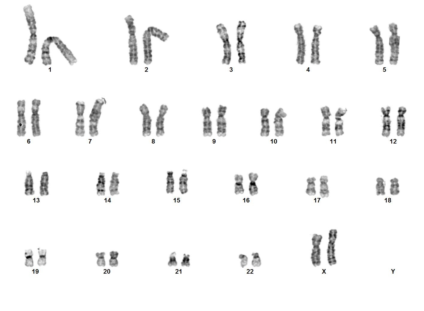
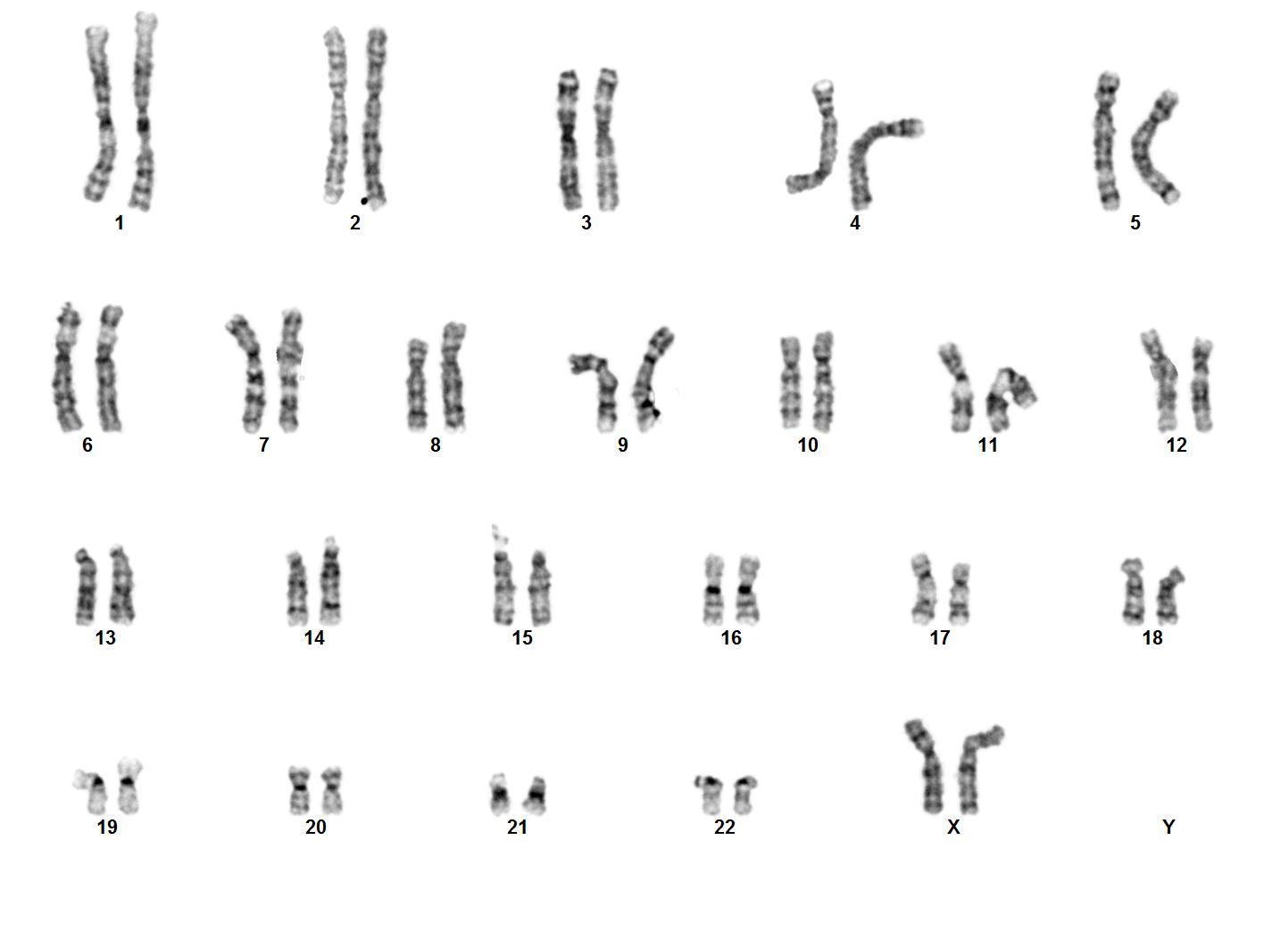
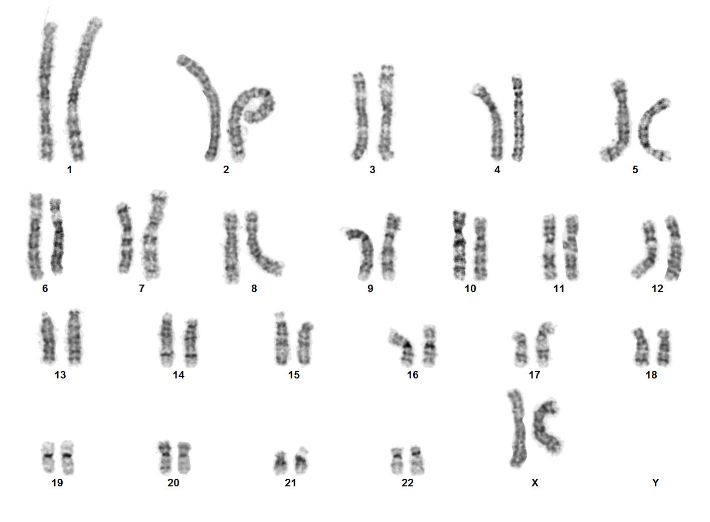
ISCN
|
46,XX.arr(1-22,X)x2
|
|
Species
|
Homo sapiens
|
|
Common Name
|
Human
|
|
Remarks
|
|
| IDENTIFICATION OF SPECIES OF ORIGIN |
Species of Origin Confirmed by LINE assay |
| |
| Remarks |
Clinically unaffected; FISH study results are normal; fibroblast is GM24586; mother of affected child (GM24585-fibro/GM23711-lymph) with de novo microdeletion at 2q22.3-q23.1; unaffected father of affected child is GM24587(fibro)/GM23713(lymph). |
| Caballero M, Ge T, Rebelo AR, Seo S, Kim S, Brooks K, Zuccaro M, Kanagaraj R, Vershkov D, Kim D, Smogorzewska A, Smolka M, Benvenisty N, West SC, Egli D, Mace EM, Koren A, Comprehensive analysis of DNA replication timing across 184 cell lines suggests a role for MCM10 in replication timing regulation Human molecular genetics: 2022 |
| PubMed ID: 35394024 |
| |
| Tang Z, Berlin DS, Toji L, Toruner GA, Beiswanger C, Kulkarni S, Martin CL, Emanuel BS, Christman M, Gerry NP, A dynamic database of microarray-characterized cell lines with various cytogenetic and genomic backgrounds G3 (Bethesda, Md)3:1143-9 2013 |
| PubMed ID: 23665875 |
| Split Ratio |
1:3 |
| Temperature |
37 C |
| Percent CO2 |
5% |
| Percent O2 |
AMBIENT |
| Medium |
Roswell Park Memorial Institute Medium 1640 with 2mM L-glutamine or equivalent |
| Serum |
15% fetal bovine serum Not Inactivated |
| Substrate |
None specified |
| Subcultivation Method |
dilution - add fresh medium |
| Supplement |
- |
|
|