GM23822
LCL from B-Lymphocyte
Description:
EARLY-ONSET MORBID OBESITY
|
Repository
|
NIGMS Human Genetic Cell Repository
|
| Subcollection |
Heritable Diseases Chromosome Abnormalities |
|
Biopsy Source
|
Peripheral vein
|
|
Cell Type
|
B-Lymphocyte
|
|
Tissue Type
|
Blood
|
|
Transformant
|
Epstein-Barr Virus
|
|
Sample Source
|
LCL from B-Lymphocyte
|
|
Race
|
Hispanic/Latino
|
|
Country of Origin
|
USA
|
|
Family History
|
N
|
|
Relation to Proband
|
proband
|
|
Confirmation
|
Clinical summary/Case history
|
|
ISCN
|
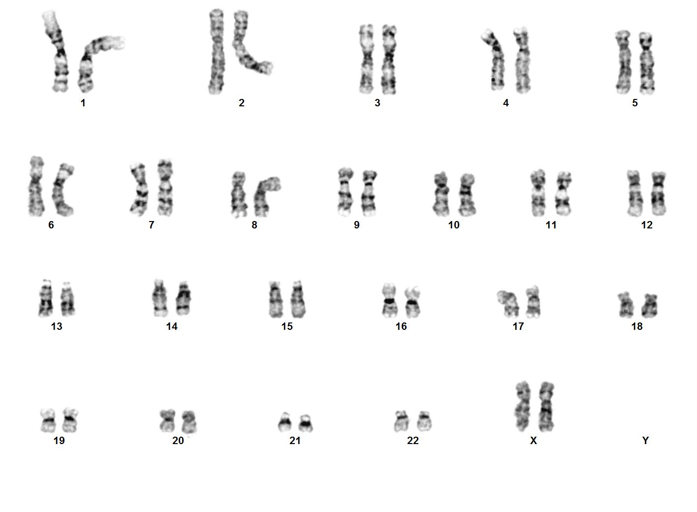
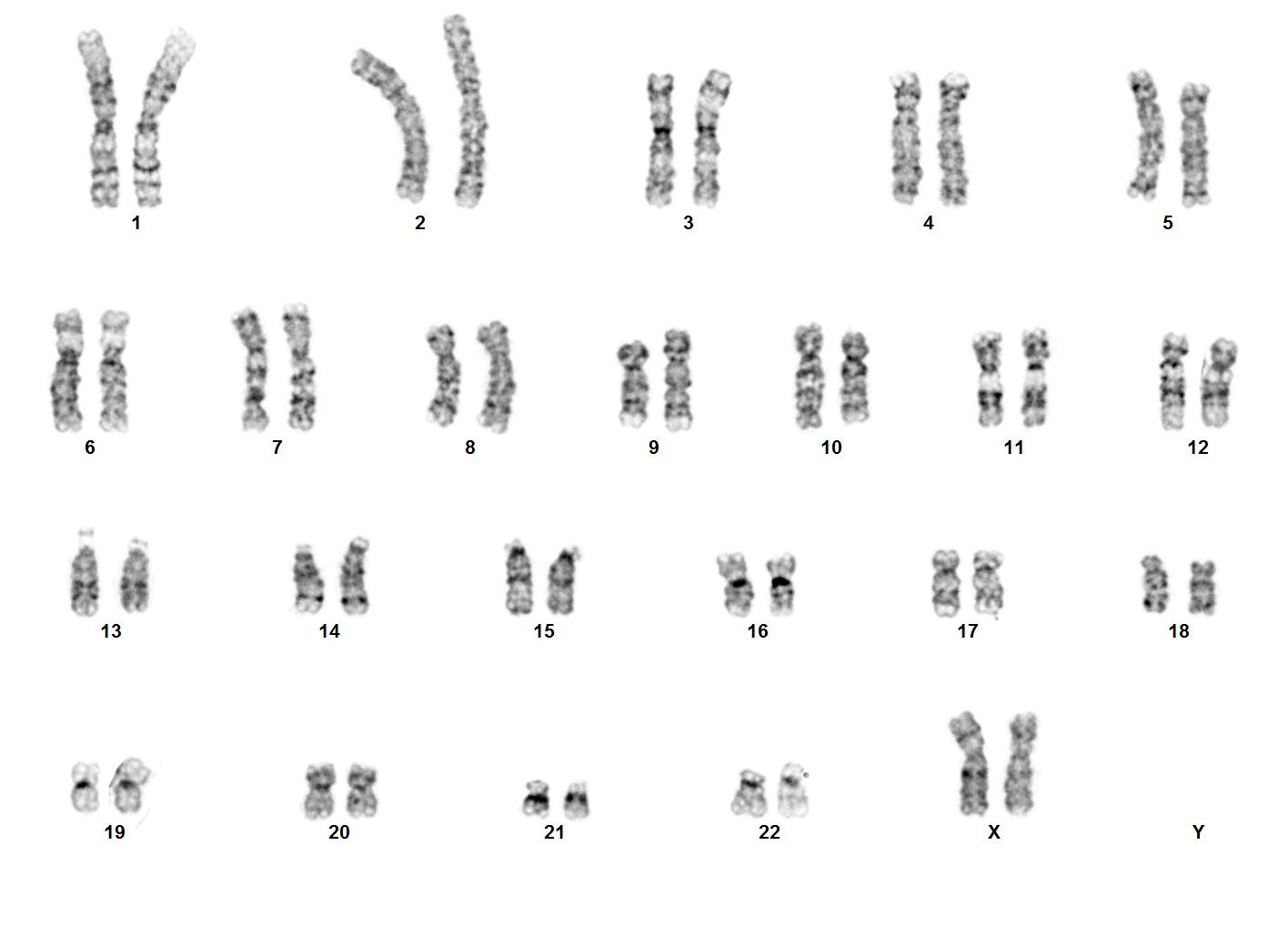
46,XX.arr 3p25.1(12605913-12784220)x3,15q11.2(22129579-22329972)x1
|
|
Species
|
Homo sapiens
|
|
Common Name
|
Human
|
|
Remarks
|
|
| IDENTIFICATION OF SPECIES OF ORIGIN |
Species of Origin Confirmed by LINE assay |
| |
| Remarks |
Clinically affected; obesity; hyperphagia began at 1 year old; vomiting related to overeating; vision impairment (20/600); esotropia; pyelonephritis (treated); keratosis pilaris; hypermobile lower extremities (ankles); unusual breathing pattern; anxiety attacks; episodes of auditory hallucinations; prominent food seeking and hoarding behaviors; aggressive behaviors; sat at 6 months, walked at 15 months; Negative results for MC4R leptin, fragile X, and Prader Willi syndrome testing, and microarray. |
| Tang Z, Berlin DS, Toji L, Toruner GA, Beiswanger C, Kulkarni S, Martin CL, Emanuel BS, Christman M, Gerry NP, A dynamic database of microarray-characterized cell lines with various cytogenetic and genomic backgrounds G3 (Bethesda, Md)3:1143-9 2013 |
| PubMed ID: 23665875 |
| Split Ratio |
1:3 |
| Temperature |
37 C |
| Percent CO2 |
5% |
| Percent O2 |
AMBIENT |
| Medium |
Roswell Park Memorial Institute Medium 1640 with 2mM L-glutamine or equivalent |
| Serum |
15% fetal bovine serum Not Inactivated |
| Substrate |
None specified |
| Subcultivation Method |
dilution - add fresh medium |
| Supplement |
- |
|
|