GM50114
LCL from B-Lymphocyte
Description:
DUPLICATED CHROMOSOME
COPY NUMBER VARIATION (CNV) REFERENCE PANEL 02
|
Repository
|
NIGMS Human Genetic Cell Repository
|
| Subcollection |
Chromosome Abnormalities dbGaP |
|
Biopsy Source
|
Peripheral vein
|
|
Cell Type
|
B-Lymphocyte
|
|
Tissue Type
|
Blood
|
|
Transformant
|
Epstein-Barr Virus
|
|
Sample Source
|
LCL from B-Lymphocyte
|
|
Family History
|
N
|
|
Relation to Proband
|
proband
|
|
Confirmation
|
Karyotypic analysis after cell line submission to CCR
|
|
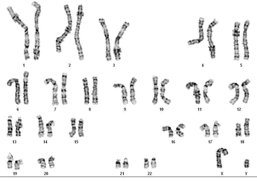
ISCN
|
46,XY,dup(18)(q12.2q21).ish dup(18)(q12.2q21)(wcp18+).arr 18q12.2q21.32(34757108-56178804)x3
|
|
Species
|
Homo sapiens
|
|
Common Name
|
Human
|
|
Remarks
|
|
| IDENTIFICATION OF SPECIES OF ORIGIN |
Species of Origin confirmed by LINE assay |
| |
| Cytogenetics |
Chromosome 18: DUPLICATION Aneuploid Segment (+)18q12>18q21 |
| Remarks |
Developed a severe seizure disorder at age 5 months which persists; left cryptorchidism; biotin deficiency; defect in the enzyme dihydropteridine reductase, resulting in higher-than normal levels of biopterin; profound mental retardation; develpomental level at age 9 years is less than 6 months of age; failure to thrive; growth retardation; down-slanting palpebral fissures; epicanthal folds; an alternating esotropia; short nose; open-mouth habitus; high palate; hyperextensible joints; hypoplastic nails; severely hypotonic with decreased reflexes; ventricular septal defect; prominent calcaneus/club foot |
| Tang Z, Berlin DS, Toji L, Toruner GA, Beiswanger C, Kulkarni S, Martin CL, Emanuel BS, Christman M, Gerry NP, A dynamic database of microarray-characterized cell lines with various cytogenetic and genomic backgrounds G3 (Bethesda, Md)3:1143-9 2013 |
| PubMed ID: 23665875 |
| |
| Mewar R, Kline AD, Harrison W, Rojas K, Greenberg F, Overhauser J, Clinical and molecular evaluation of four patients with partial duplications of the long arm of chromosome 18. Am J Hum Genet53(6):1269-78 1993 |
| PubMed ID: 8250043 |
| View |
FISH Whole chromosome 18 painting probe in green, FITC |
|
FISH Whole chromosome 18 painting probe in green, FITC |
|
karyotype Whole chromosome 18 painting probe in green, FITC |
|
karyotype Whole chromosome 18 painting probe in green, FITC |
| Split Ratio |
1:3 |
| Temperature |
37 C |
| Percent CO2 |
5% |
| Percent O2 |
AMBIENT |
| Medium |
Roswell Park Memorial Institute Medium 1640 with 2mM L-glutamine or equivalent |
| Serum |
15% fetal bovine serum Not Inactivated |
| Substrate |
None specified |
| Subcultivation Method |
dilution - add fresh medium |
| Supplement |
- |
|
|