GM50188
LCL from B-Lymphocyte
Description:
CRI-DU-CHAT SYNDROME
CHROMOSOME DELETION
|
Repository
|
NIGMS Human Genetic Cell Repository
|
| Subcollection |
Chromosome Abnormalities dbGaP |
|
Biopsy Source
|
Peripheral vein
|
|
Cell Type
|
B-Lymphocyte
|
|
Tissue Type
|
Blood
|
|
Transformant
|
Epstein-Barr Virus
|
|
Sample Source
|
LCL from B-Lymphocyte
|
|
Ethnicity
|
LEBANESE
|
|
Family History
|
N
|
|
Relation to Proband
|
proband
|
|
Confirmation
|
Karyotypic analysis after cell line submission to CCR
|
|
ISCN
|
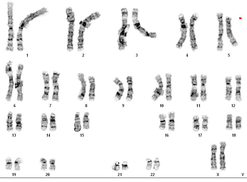
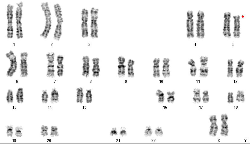
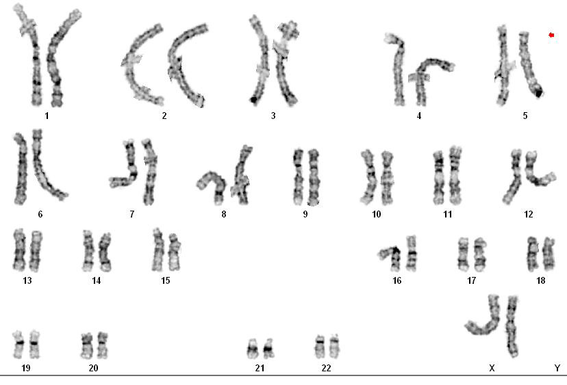
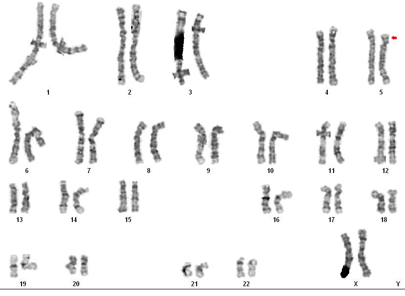
46,XX,del(5)(p15.3p14).ish del(5)(p15.3p14)(C84c11/T3+,D5S23/D5S721-,EGR1+,D5S2907+).arr 5p15.33p14.3(4185365-20176402)x1,17q24.1(60638326-60940745)x1
|
|
Species
|
Homo sapiens
|
|
Common Name
|
Human
|
|
Remarks
|
|
| IDENTIFICATION OF SPECIES OF ORIGIN |
Species of Origin confirmed by LINE assay |
| |
| Remarks |
Growth delay; microcephaly; bulbar nose; hypertelorism; epicanthal folds; low-set ears; migrognathia; mild to moderate mental delay; speech delay; attention deficit; no cat-like cry; IQ = 50; at age 40 months developmental level is at age 19 months; very irritable |
| Tang Z, Berlin DS, Toji L, Toruner GA, Beiswanger C, Kulkarni S, Martin CL, Emanuel BS, Christman M, Gerry NP, A dynamic database of microarray-characterized cell lines with various cytogenetic and genomic backgrounds G3 (Bethesda, Md)3:1143-9 2013 |
| PubMed ID: 23665875 |
| |
| Marinescu RC, Johnson EI, Grady D, Chen XN, Overhauser J, FISH analysis of terminal deletions in patients diagnosed with cri-du-chat syndrome. Clin Genet56(4):282-8 1999 |
| PubMed ID: 10636446 |
| View |
FISH Spectrum Green-5pter C84C11/T3, Spectrum Orange-5qter D5S2907 |
|
FISH Spectrum Green-5pter C84C11/T3, Spectrum Orange-5qter D5S2907 |
|
FISH Spectrum Green-LSI 5pD5S23 (5p15.2), Spectrum Orange-LSI 5q EGR-1 (5q31) |
|
FISH Spectrum Green-LSI 5pD5S23 (5p15.2), Spectrum Orange-LSI 5q EGR-1 (5q31) |
|
karyotype Spectrum Green-LSI 5pD5S23 (5p15.2), Spectrum Orange-LSI 5q EGR-1 (5q31) |
|
karyotype Spectrum Green-LSI 5pD5S23 (5p15.2), Spectrum Orange-LSI 5q EGR-1 (5q31) |
|
karyotype Spectrum Green-LSI 5pD5S23 (5p15.2), Spectrum Orange-LSI 5q EGR-1 (5q31) |
|
karyotype Spectrum Green-LSI 5pD5S23 (5p15.2), Spectrum Orange-LSI 5q EGR-1 (5q31) |
|
karyotype Spectrum Green-LSI 5pD5S23 (5p15.2), Spectrum Orange-LSI 5q EGR-1 (5q31) |
| Split Ratio |
1:4 |
| Temperature |
37 C |
| Percent CO2 |
5% |
| Percent O2 |
AMBIENT |
| Medium |
Roswell Park Memorial Institute Medium 1640 with 2mM L-glutamine or equivalent |
| Serum |
15% fetal bovine serum Not Inactivated |
| Substrate |
None specified |
| Subcultivation Method |
dilution - add fresh medium |
| Supplement |
- |
|
|