GM50248
LCL from B-Lymphocyte
Description:
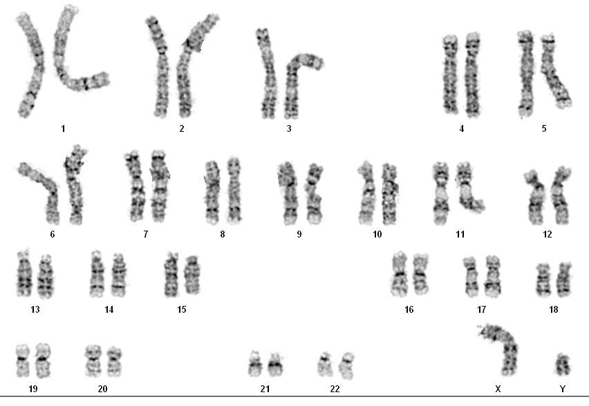
CRI-DU-CHAT SYNDROME
CHROMOSOME DELETION
|
Repository
|
NIGMS Human Genetic Cell Repository
|
| Subcollection |
Chromosome Abnormalities dbGaP |
|
Biopsy Source
|
Peripheral vein
|
|
Cell Type
|
B-Lymphocyte
|
|
Tissue Type
|
Blood
|
|
Transformant
|
Epstein-Barr Virus
|
|
Sample Source
|
LCL from B-Lymphocyte
|
|
Family History
|
N
|
|
Relation to Proband
|
proband
|
|
Confirmation
|
Karyotypic analysis after cell line submission to CCR
|
|
ISCN
|
46,XY,del(5)(p15.2p14).arr 5p15.2p14.3(8945091-22219855)x1
|
|
Species
|
Homo sapiens
|
|
Common Name
|
Human
|
|
Remarks
|
|
| IDENTIFICATION OF SPECIES OF ORIGIN |
Species of Origin confirmed by LINE assay |
| |
| Remarks |
Microcephaly; round face; hypertelorism; epicanthal folds; low-set ears; micrognathia; mild mental delay; speech delay; attention deficit (ADHD); high pitched cry; hypertonic; feeding difficulties; chronic ear problems resulting in ear tubes; attached helix; hydrocock; tight heel cords; malformation of larynx; cold hands and feet; drooling; gagging and choking; bilateral short fifth fingers; both parents have normal karyotyes |
| García-Pascual CM, Navarro-Sánchez L, Navarro R, Martínez L, Jiménez J, Rodrigo L, Simón C, Rubio C, Optimized NGS Approach for Detection of Aneuploidies and Mosaicism in PGT-A and Imbalances in PGT-SR Genes11: 2020 |
| PubMed ID: 32610655 |
| |
| Tang Z, Berlin DS, Toji L, Toruner GA, Beiswanger C, Kulkarni S, Martin CL, Emanuel BS, Christman M, Gerry NP, A dynamic database of microarray-characterized cell lines with various cytogenetic and genomic backgrounds G3 (Bethesda, Md)3:1143-9 2013 |
| PubMed ID: 23665875 |
| |
| Marinescu RC, Johnson EI, Grady D, Chen XN, Overhauser J, FISH analysis of terminal deletions in patients diagnosed with cri-du-chat syndrome. Clin Genet56(4):282-8 1999 |
| PubMed ID: 10636446 |
| Split Ratio |
1:3 |
| Temperature |
37 C |
| Percent CO2 |
5% |
| Percent O2 |
AMBIENT |
| Medium |
Roswell Park Memorial Institute Medium 1640 with 2mM L-glutamine or equivalent |
| Serum |
15% fetal bovine serum Not Inactivated |
| Substrate |
None specified |
| Subcultivation Method |
dilution - add fresh medium |
| Supplement |
- |
|
|