Description:
TRANSLOCATED CHROMOSOME
|
Repository
|
NIGMS Human Genetic Cell Repository
|
| Subcollection |
Chromosome Abnormalities dbGaP |
| Quantity |
25 µg |
| Quantitation Method |
Please see our FAQ |
|
Biopsy Source
|
Peripheral vein
|
|
Cell Type
|
B-Lymphocyte
|
|
Tissue Type
|
Blood
|
|
Transformant
|
Epstein-Barr Virus
|
|
Sample Source
|
DNA from LCL
|
|
Race
|
White
|
|
Relation to Proband
|
proband
|
|
Confirmation
|
Clinical summary/Case history
|
|
ISCN
|
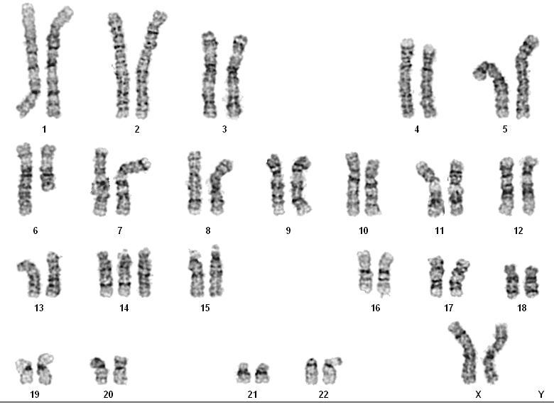
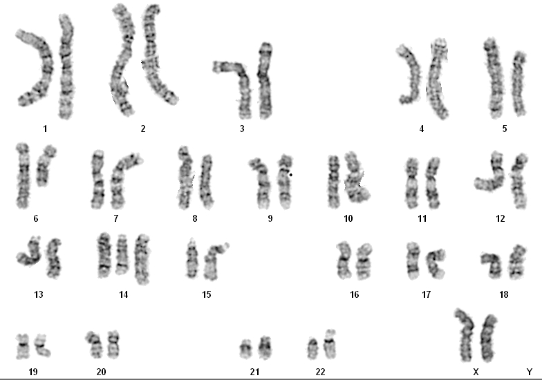
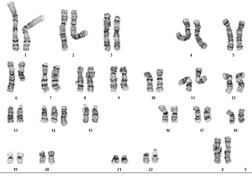
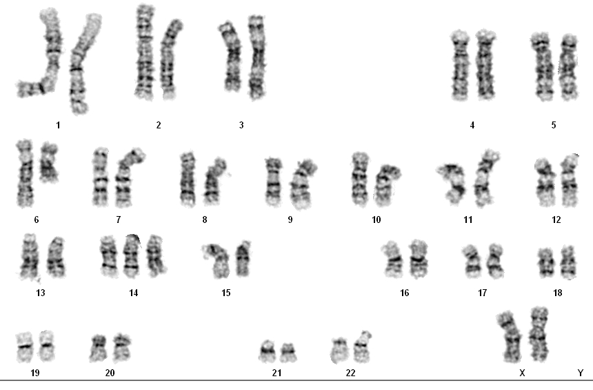
47,XX,der(6)dup(6)(p24)del(6)(q21),+der(14)t(6;14)(q21;q21).arr[hg19] 6p25.3p24.3(149648-9709720)x3,14q11.1q21.2(19002111-45018720)x3
|
|
Species
|
Homo sapiens
|
|
Common Name
|
Human
|
|
Remarks
|
|
| IDENTIFICATION OF SPECIES OF ORIGIN |
Species of Origin Confirmed by Nucleoside Phosphorylase, Glucose-6-Phosphate Dehydrogenase, and Lactate Dehydrogenase Isoenzyme Electrophoresis and by Chromosome Analysis |
| |
| Cytogenetics |
Chromosome 14: DERIVATIVE CHROMOSOME Aneuploid Segment (+)14pter>14q21.3 |
|
Chromosome 6: DERIVATIVE CHROMOSOME Aneuploid Segment (+)6pter>6p24.3 |
| Remarks |
Profoundly retarded; hypertelorism, rounded flat facies; deep set eyes; markedly depressed nasal bridge; short stature. |
| Tang Z, Berlin DS, Toji L, Toruner GA, Beiswanger C, Kulkarni S, Martin CL, Emanuel BS, Christman M, Gerry NP, A dynamic database of microarray-characterized cell lines with various cytogenetic and genomic backgrounds G3 (Bethesda, Md)3:1143-9 2013 |
| PubMed ID: 23665875 |
| |
| Allderdice PW, Miller OJ, Miller DA, Breg WR, Gendel E, Zelson C, Familial translocation involving chromosomes 6, 14 and 20, identified by quinacrine fluorescence. Humangenetik13:205-9 1971 |
| PubMed ID: 5114675 |
| View |
FISH FITC detects 6pter,Texas Red detects 14qter, DAPI counterstain |
|
FISH FITC detects 6pter,Texas Red detects 14qter, DAPI counterstain |
|
karyotype FITC detects 6pter,Texas Red detects 14qter, DAPI counterstain |
|
karyotype FITC detects 6pter,Texas Red detects 14qter, DAPI counterstain |
|
karyotype FITC detects 6pter,Texas Red detects 14qter, DAPI counterstain |
|
karyotype FITC detects 6pter,Texas Red detects 14qter, DAPI counterstain |
|
|