AG16408
LCL from B-Lymphocyte
Description:
APPARENTLY HEALTHY INDIVIDUAL
|
Repository
|
NIA Aging Cell Culture Repository
|
| Subcollection |
Apparently Healthy Collection |
|
Biopsy Source
|
Peripheral vein
|
|
Cell Type
|
B-Lymphocyte
|
|
Tissue Type
|
Blood
|
|
Transformant
|
Epstein-Barr Virus
|
|
Sample Source
|
LCL from B-Lymphocyte
|
|
Race
|
White
|
|
Family Member
|
1
|
|
Relation to Proband
|
proband
|
|
Confirmation
|
Clinical summary/Case history
|
|
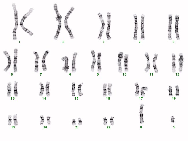
ISCN
|
46,XY,add(19)(p13.3)[17]/46,XY[33]
|
|
Species
|
Homo sapiens
|
|
Common Name
|
Human
|
|
Remarks
|
|
| IDENTIFICATION OF SPECIES OF ORIGIN |
Species of Origin Confirmed by Nucleoside Phosphorylase,Glucose-6-Phosphate Dehydrogenase, and Lactate Dehydrogenase Isoenzyme Electrophoresis |
| |
| Remarks |
Clinically normal; cervical spine injury at age 5; ventilator-dependent; brain death with cardiorespiratory arrest at age 12. The culture was initiated on 7/12/2000 by transformation of lymphocytes with Epstein Barr virus. The culture grows in suspension and the cell morphology is spherical. The culture is a mosaic with karyotype: 46,XY,add(19)(p13.3)[17]/46,XY[33] with 6% of the cells examined showing random chromosome loss/gain. A skin fibroblast culture (AG16409) and an aortic smooth muscle cell culture (AG16410) are from this same donor. The legacy karyotype description shown in this Remark may not be representative of the current available product. |
| Split Ratio |
1:5 |
| Temperature |
37 C |
| Percent CO2 |
5% |
| Medium |
Roswell Park Memorial Institute Medium 1640 with 2mM L-glutamine or equivalent |
| Serum |
15% fetal bovine serum Not Inactivated |
| Substrate |
None specified |
| Subcultivation Method |
dilution - add fresh medium |
| Supplement |
- |
|
|