Description:
18P- SYNDROME
|
Repository
|
NIGMS Human Genetic Cell Repository
|
| Subcollection |
Chromosome Abnormalities dbGaP |
| Quantity |
25 µg |
| Quantitation Method |
Please see our FAQ |
|
Biopsy Source
|
Peripheral vein
|
|
Cell Type
|
B-Lymphocyte
|
|
Tissue Type
|
Blood
|
|
Transformant
|
Epstein-Barr Virus
|
|
Sample Source
|
DNA from LCL
|
|
Confirmation
|
Karyotypic analysis after cell line submission to CCR
|
|
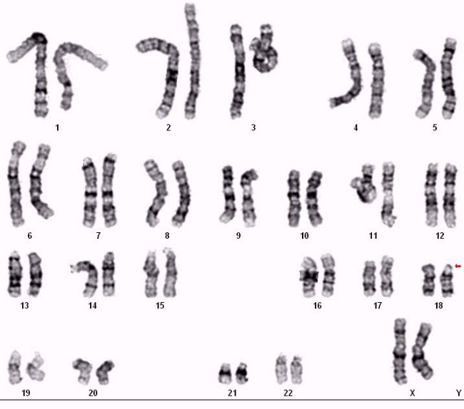
ISCN
|
46,XX,del(18)(p11.2).ish del(18)(p11.2)(D18S552-,D18S1390+).arr 18p11.32p11.21(1542-15133714)x1
|
|
Species
|
Homo sapiens
|
|
Common Name
|
Human
|
|
Remarks
|
|
| IDENTIFICATION OF SPECIES OF ORIGIN |
Species of Origin Confirmed by Nucleoside Phosphorylase,Glucose-6-Phosphate Dehydrogenase, and Lactate Dehydrogenase Isoenzyme Electrophoresis |
| |
| Remarks |
Line JL451; 18p- syndrome |
| Tang Z, Berlin DS, Toji L, Toruner GA, Beiswanger C, Kulkarni S, Martin CL, Emanuel BS, Christman M, Gerry NP, A dynamic database of microarray-characterized cell lines with various cytogenetic and genomic backgrounds G3 (Bethesda, Md)3:1143-9 2013 |
| PubMed ID: 23665875 |
|
|