GM21879
Fibroblast from Skin, Unspecified
Description:
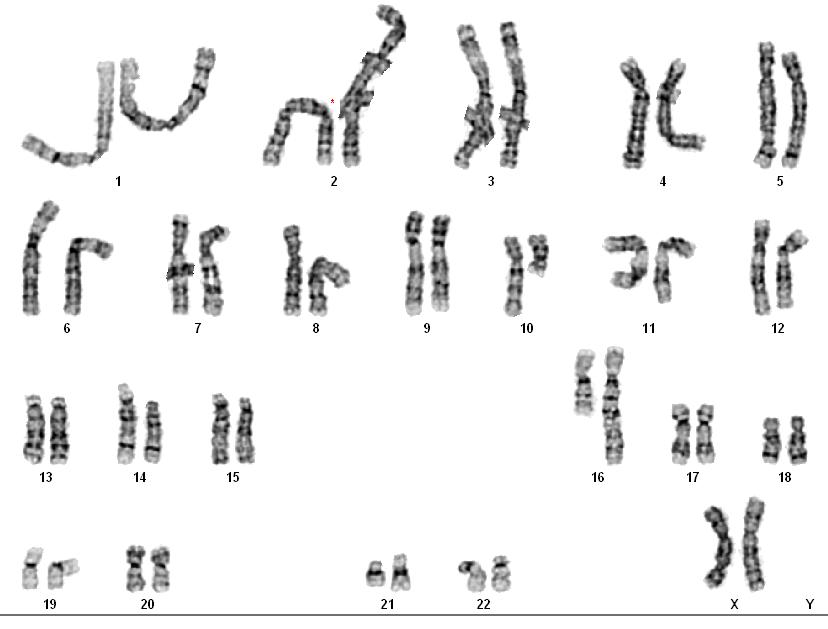
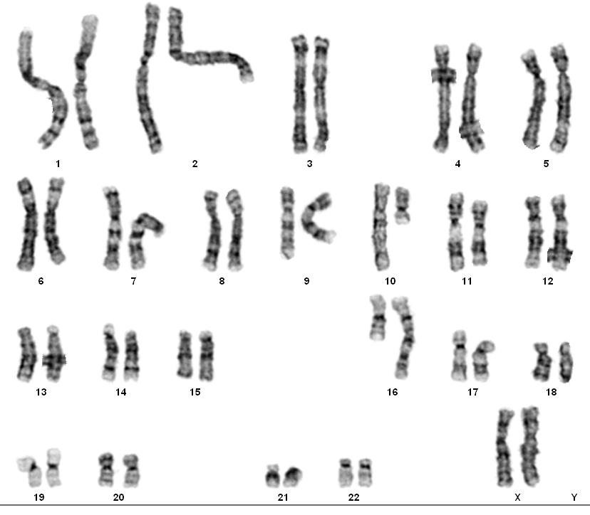
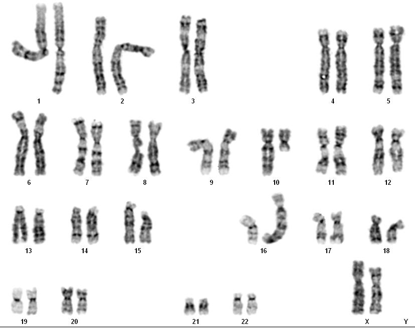
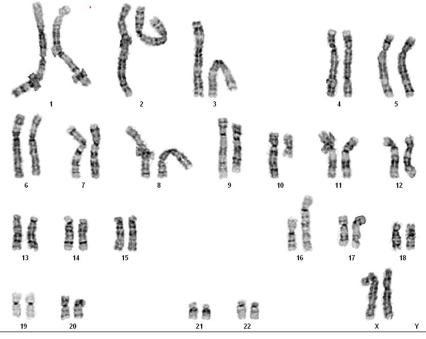
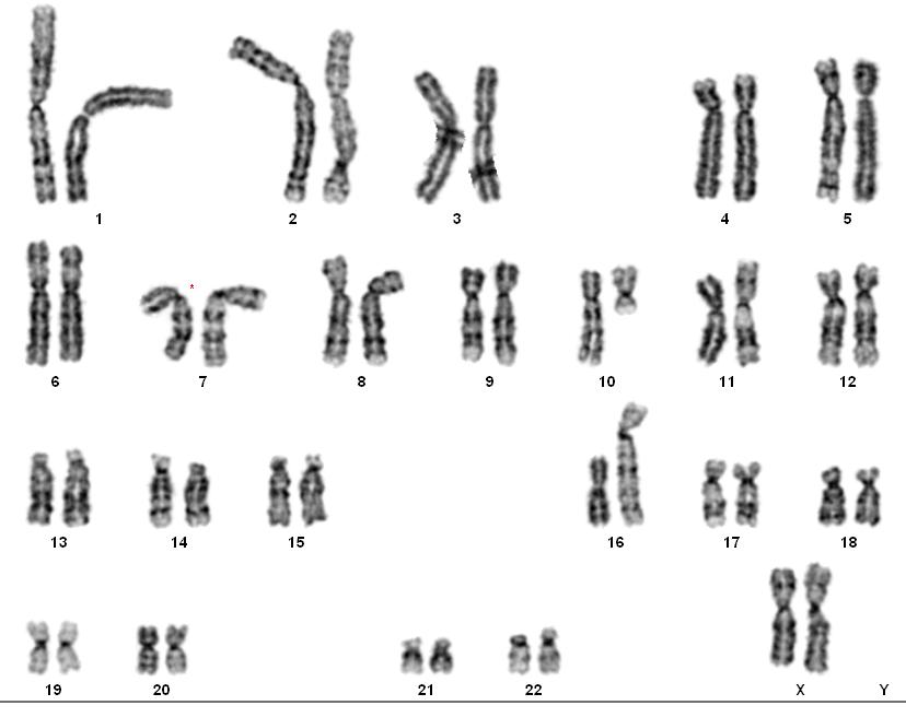
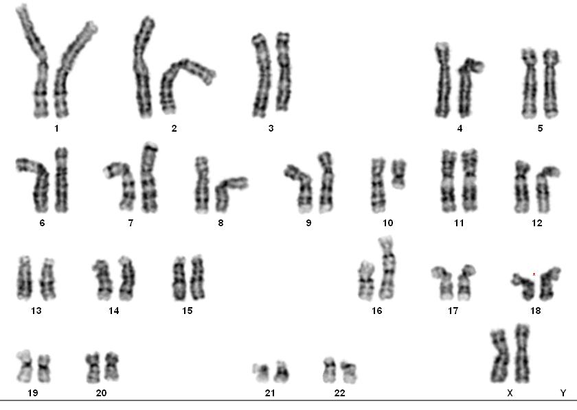
TRANSLOCATED CHROMOSOME
|
Repository
|
NIGMS Human Genetic Cell Repository
|
| Subcollection |
Chromosome Abnormalities |
|
Biopsy Source
|
Unspecified
|
|
Cell Type
|
Fibroblast
|
|
Tissue Type
|
Skin
|
|
Transformant
|
Untransformed
|
|
Sample Source
|
Fibroblast from Skin, Unspecified
|
|
Relation to Proband
|
proband
|
|
ISCN
|
46,XX,t(10;16)(q11;q22)
|
|
Species
|
Homo sapiens
|
|
Common Name
|
Human
|
| Split Ratio |
1:4 |
| Temperature |
37 C |
| Percent CO2 |
10% |
| Percent O2 |
AMBIENT |
| Medium |
Dulbecco Modified Eagles Medium (high glucose) with 2mM L-glutamine or equivalent |
| Serum |
10% fetal bovine serum Not inactivated |
| Substrate |
None specified |
| Supplement |
- |
|
|