GM21881
Fibroblast from Skin, Unspecified
Description:
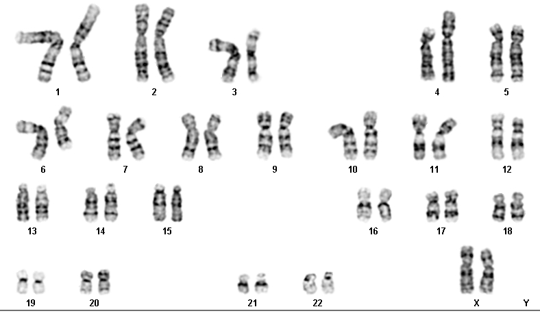
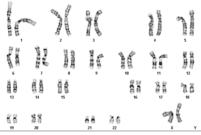
TRANSLOCATED CHROMOSOME
|
Repository
|
NIGMS Human Genetic Cell Repository
|
| Subcollection |
Chromosome Abnormalities |
|
Biopsy Source
|
Unspecified
|
|
Cell Type
|
Fibroblast
|
|
Tissue Type
|
Skin
|
|
Transformant
|
Untransformed
|
|
Sample Source
|
Fibroblast from Skin, Unspecified
|
|
Family Member
|
2
|
|
Relation to Proband
|
mother
|
|
Confirmation
|
Karyotypic analysis after cell line submission to CCR
|
|
ISCN
|
46,XX,t(4;6)(p14;q21).ish t(4;6)(wcp4+;wcp4+)
|
|
Species
|
Homo sapiens
|
|
Common Name
|
Human
|
|
Remarks
|
|
| PDL at Freeze |
7.32 |
| Passage Frozen |
7 |
| |
| IDENTIFICATION OF SPECIES OF ORIGIN |
Species of Origin confirmed by LINE assay |
| |
| Cytogenetics |
Chromosome 4: TRANSLOCATION Breakpoint 4p14 |
|
Chromosome 6: TRANSLOCATION Breakpoint 6q21 |
| Remarks |
Mother of GM21880 |
| Passage Frozen |
7 |
| Split Ratio |
1:2 |
| Temperature |
37 C |
| Percent CO2 |
10% |
| Percent O2 |
AMBIENT |
| Medium |
Dulbecco Modified Eagles Medium (high glucose) with 2mM L-glutamine or equivalent |
| Serum |
10% fetal bovine serum Not inactivated |
| Substrate |
None specified |
| Supplement |
- |
|
|