GM22364
LCL from B-Lymphocyte
Description:
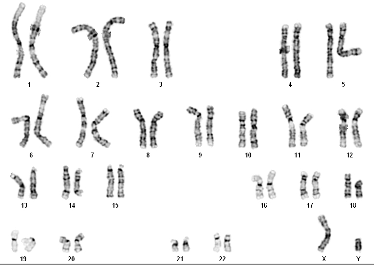
DUPLICATED CHROMOSOME
CHROMOSOME 15Q11-Q13 DUPLICATION SYNDROME
|
Repository
|
NIGMS Human Genetic Cell Repository
|
| Subcollection |
Chromosome Abnormalities dbGaP |
|
Biopsy Source
|
Peripheral vein
|
|
Cell Type
|
B-Lymphocyte
|
|
Tissue Type
|
Blood
|
|
Transformant
|
Epstein-Barr Virus
|
|
Sample Source
|
LCL from B-Lymphocyte
|
|
Race
|
White
|
|
Country of Origin
|
USA
|
|
Family History
|
N
|
|
Relation to Proband
|
proband
|
|
Confirmation
|
Karyotypic analysis after cell line submission to CCR
|
|
ISCN
|
46,XY,dup(15)(q11q12).ish dup(15)(q11q12)(D15Z1+,GABRB3 enh,D15S11 enh).arr Yq11.223(24935853-25078094)x0,8q22.3(103288416-103522127)x3,15q11.2(21033790-21884433)x3,15q11.2q13.1(22282965-26500067)x3
|
|
Species
|
Homo sapiens
|
|
Common Name
|
Human
|
|
Remarks
|
|
| IDENTIFICATION OF SPECIES OF ORIGIN |
Species of Origin confirmed by LINE assay |
| |
| Cytogenetics |
Chromosome 10: INVERSION Breakpoint 10p11.2 |
|
Chromosome 10: INVERSION Breakpoint 10q21.2 |
|
Chromosome 15: DUPLICATION Aneuploid Segment (+)15q11>15q12 |
| Remarks |
Clinically affected; defined as non-autistic by clinical impression (it is thought that ADHD may have caused ADOS scores to verge on ASD due to inattention, metalinguistic difficulties, and oppositional behavior); examination at 6 years old reports: ADOS calibrated severity score of 4, IQ of 83, variant EEG (excessive diffuse 18-22 Hz beta spikes in the waking record), broad forehead, long palpebral fissures, short nose, long philtrum, pointed chin, hernia, orbital facial asymmetry, ADHD; 5.7 mb de novo 15q interstitial duplication of paternal origin; refer to patient 801-005 as described by Urraca et al PMID: 23495136. |
| Chen D, Zhen H, Qiu Y, Liu P, Zeng P, Xia J, Shi Q, Xie L, Zhu Z, Gao Y, Huang G, Wang J, Yang H, Chen F, Comparison of single cell sequencing data between two whole genome amplification methods on two sequencing platforms Scientific reports8:4963 2017 |
| PubMed ID: 29563514 |
| |
| Tang Z, Berlin DS, Toji L, Toruner GA, Beiswanger C, Kulkarni S, Martin CL, Emanuel BS, Christman M, Gerry NP, A dynamic database of microarray-characterized cell lines with various cytogenetic and genomic backgrounds G3 (Bethesda, Md)3:1143-9 2013 |
| PubMed ID: 23665875 |
| |
| Urraca N, Cleary J, Brewer V, Pivnick EK, McVicar K, Thibert RL, Schanen NC, Esmer C, Lamport D, Reiter LT, The interstitial duplication 15q112-q13 syndrome includes autism, mild facial anomalies and a characteristic EEG signature Autism research : official journal of the International Society for Autism Research6:268-79 2012 |
| PubMed ID: 23495136 |
| View |
FISH Spectrum Green detects CEP 15 / Spectrum Orange detects GABRB3 |
|
FISH Spectrum Green detects CEP 15 / Spectrum Orange detects D15S11 |
|
karyotype Spectrum Green detects CEP 15 / Spectrum Orange detects D15S11 |
|
MicroArray Karyotype View of the copy number segment changes detected by the Affymetrix Genome Wide Human SNP Array 6.0 |
| Split Ratio |
1:2 |
| Temperature |
37 C |
| Percent CO2 |
5% |
| Percent O2 |
AMBIENT |
| Medium |
Roswell Park Memorial Institute Medium 1640 with 2mM L-glutamine or equivalent |
| Serum |
15% fetal bovine serum Not Inactivated |
| Substrate |
None specified |
| Subcultivation Method |
dilution - add fresh medium |
| Supplement |
- |
|
|