GM23125
LCL from B-Lymphocyte
Description:
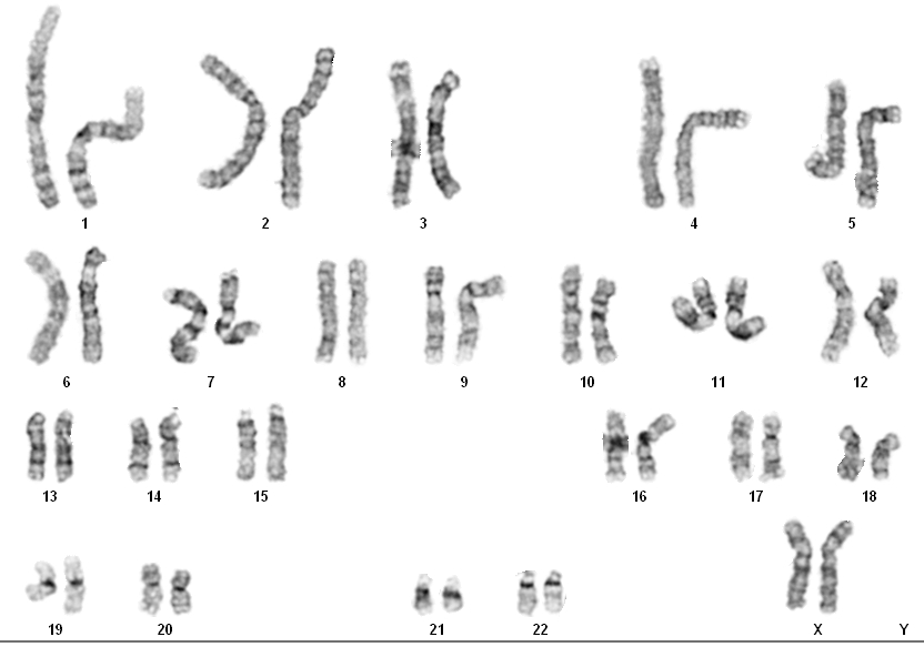
DUPLICATED CHROMOSOME
CHROMOSOME 15Q11-Q13 DUPLICATION SYNDROME
|
Repository
|
NIGMS Human Genetic Cell Repository
|
| Subcollection |
Chromosome Abnormalities |
|
Biopsy Source
|
Peripheral vein
|
|
Cell Type
|
B-Lymphocyte
|
|
Tissue Type
|
Blood
|
|
Transformant
|
Epstein-Barr Virus
|
|
Sample Source
|
LCL from B-Lymphocyte
|
|
Race
|
White
|
|
Country of Origin
|
USA
|
|
Family History
|
N
|
|
Relation to Proband
|
proband
|
|
Confirmation
|
Karyotypic analysis after cell line submission to CCR
|
|
ISCN
|
46,XX.arr 15q11.2q13.1(20224751-26872582)x3
|
|
Species
|
Homo sapiens
|
|
Common Name
|
Human
|
|
Remarks
|
|
| IDENTIFICATION OF SPECIES OF ORIGIN |
Species of Origin Confirmed by LINE assay |
| |
| Cytogenetics |
Chromosome 15: DUPLICATION Aneuploid Segment arr 15q11.2q13.1(20224751-26872582)x3 |
| Remarks |
Clinically affected; defined as autistic by clinical impression even though ADOS leans towards non-autistic (due to stereotyped speech and inability to initiate or maintain social interaction); examination at 6 years old reports: autism spectrum disorder, ADOS calibrated severity score of 3, IQ of 71, variant EEG (excessive diffuse 18-22 Hz beta spikes in the waking record), round face, long palpebral fissures, short bulbous nose, wide nasal bridge, anteverted nares, long philtrum, full cheeks, wide mouth, nasal labial folds asymmetry, hemiparesis, neonatal tremors, apraxia; 5.8 mb de novo 15q interstitial duplication of maternal origin; refer to patient 801-011 as described by Urraca et al PMID: 23495136. |
| Tang Z, Berlin DS, Toji L, Toruner GA, Beiswanger C, Kulkarni S, Martin CL, Emanuel BS, Christman M, Gerry NP, A dynamic database of microarray-characterized cell lines with various cytogenetic and genomic backgrounds G3 (Bethesda, Md)3:1143-9 2013 |
| PubMed ID: 23665875 |
| |
| Urraca N, Cleary J, Brewer V, Pivnick EK, McVicar K, Thibert RL, Schanen NC, Esmer C, Lamport D, Reiter LT, The interstitial duplication 15q112-q13 syndrome includes autism, mild facial anomalies and a characteristic EEG signature Autism research : official journal of the International Society for Autism Research6:268-79 2012 |
| PubMed ID: 23495136 |
| Split Ratio |
1:4 |
| Temperature |
37 C |
| Percent CO2 |
5% |
| Percent O2 |
AMBIENT |
| Medium |
Roswell Park Memorial Institute Medium 1640 with 2mM L-glutamine or equivalent |
| Serum |
15% fetal bovine serum Not Inactivated |
| Substrate |
None specified |
| Subcultivation Method |
dilution - add fresh medium |
| Supplement |
- |
|
|