GM23466
LCL from B-Lymphocyte
Description:
PRADER-WILLI SYNDROME; PWS
|
Repository
|
NIGMS Human Genetic Cell Repository
|
| Subcollection |
Heritable Diseases Chromosome Abnormalities |
|
Biopsy Source
|
Peripheral vein
|
|
Cell Type
|
B-Lymphocyte
|
|
Tissue Type
|
Blood
|
|
Transformant
|
Epstein-Barr Virus
|
|
Sample Source
|
LCL from B-Lymphocyte
|
|
Race
|
Hispanic/Latino
|
|
Ethnicity
|
Hispanic/Latino
|
|
Ethnicity
|
MEXICAN
|
|
Country of Origin
|
USA
|
|
Family History
|
N
|
|
Relation to Proband
|
proband
|
|
Confirmation
|
Clinical summary/Case history
|
|
ISCN
|
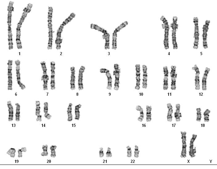
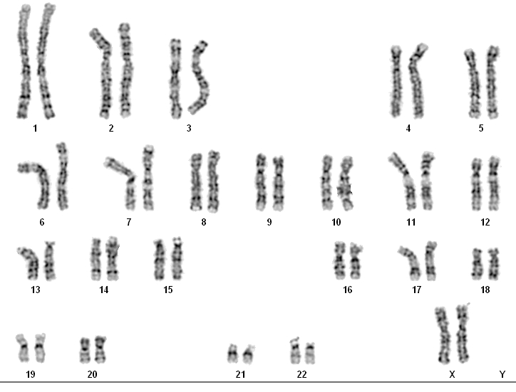
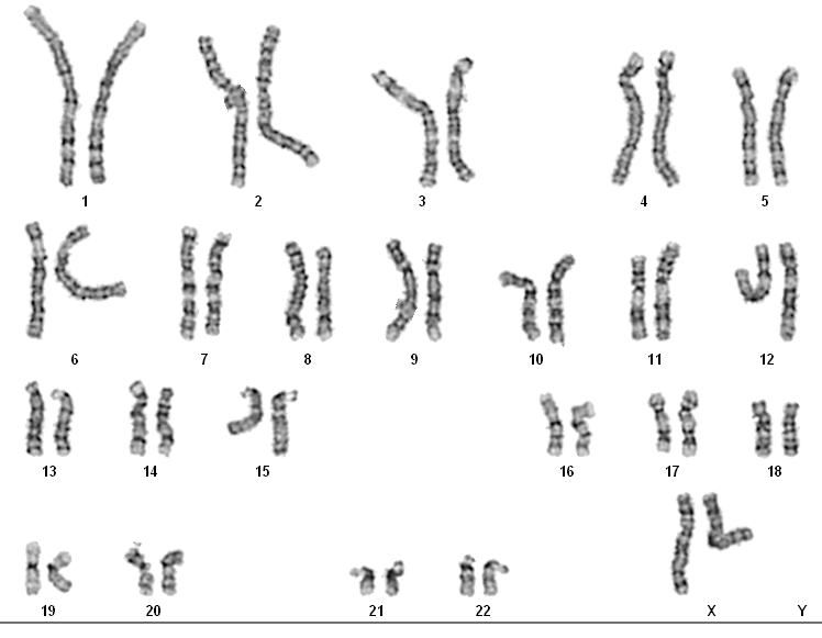
46,XX.arr 7q35(143558727-143734848)x1,15q11.2(18664855-20089383)x3,15q11.2q13.1(21192942-26234399)x1
|
|
Species
|
Homo sapiens
|
|
Common Name
|
Human
|
|
Remarks
|
|
| IDENTIFICATION OF SPECIES OF ORIGIN |
Species of Origin Confirmed by LINE assay |
| |
| Remarks |
Clinically affected; obstructive sleep apnea, noted features include: round face, bitemporal narrowing, almond-shaped eyes that are upslanting, mild epicanthal folds, hair is hypopigmented, neck is short and broad with a slight low anterior and posterior hairline, head is tilted forward on neck, increased muscle bulk and lordosis of the spine. Receives occupational, physical and speech therapy. |
| Tang Z, Berlin DS, Toji L, Toruner GA, Beiswanger C, Kulkarni S, Martin CL, Emanuel BS, Christman M, Gerry NP, A dynamic database of microarray-characterized cell lines with various cytogenetic and genomic backgrounds G3 (Bethesda, Md)3:1143-9 2013 |
| PubMed ID: 23665875 |
| Split Ratio |
1:5 |
| Temperature |
37 C |
| Percent CO2 |
5% |
| Percent O2 |
AMBIENT |
| Medium |
Roswell Park Memorial Institute Medium 1640 with 2mM L-glutamine or equivalent |
| Serum |
15% fetal bovine serum Not Inactivated |
| Substrate |
None specified |
| Subcultivation Method |
dilution - add fresh medium |
| Supplement |
- |
|
|