GM20259
Tumor-derived cell line from Tumor
Description:
TRANSLOCATED CHROMOSOME
NON-HODGKINS LYMPHOMA
|
Repository
|
NIGMS Human Genetic Cell Repository
|
| Subcollection |
Chromosome Abnormalities dbGaP |
|
Cell Type
|
Tumor-derived cell line
|
|
Tissue Type
|
Tumor
|
|
Transformant
|
Untransformed
|
|
Sample Source
|
Tumor-derived cell line from Tumor
|
|
Race
|
White
|
|
Relation to Proband
|
proband
|
|
Confirmation
|
Karyotypic analysis after cell line submission to CCR
|
|
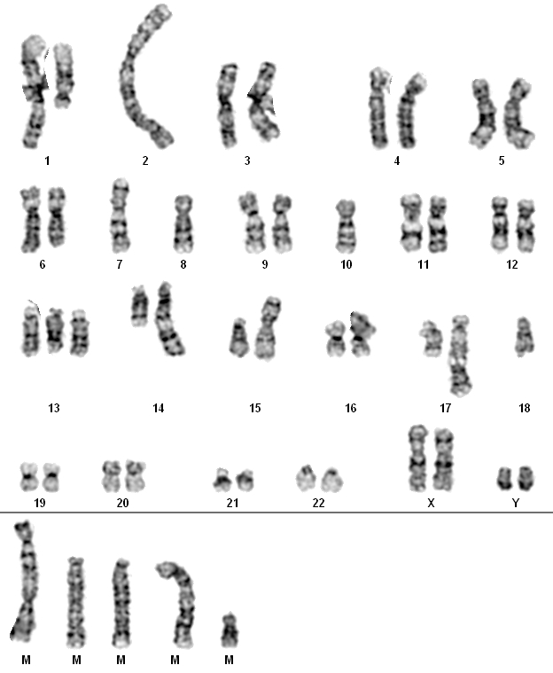
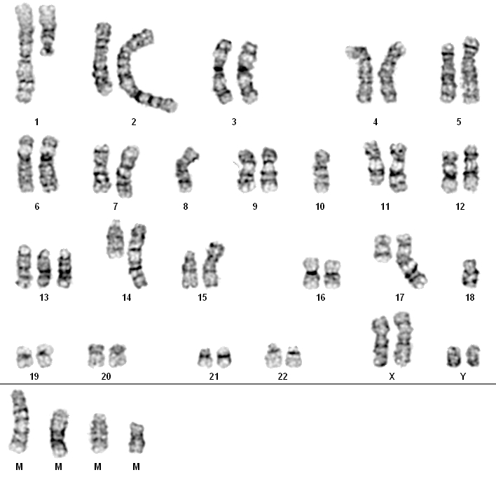
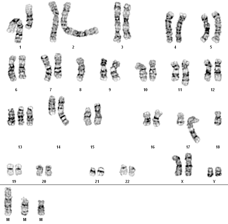
ISCN
|
48~50,XXYY,t(1;14)(q21;q32),der(2)t(2;3;10),der(6)t(6;16;18),der(7)t(7;15),del(8)(p?),-10,dup(11),+13,der(15)t(15;18)(p11.2;q11.2),der(17)t(8;17)(q13;q25),-18,+2~7mar[cp25]
|
|
Species
|
Homo sapiens
|
|
Common Name
|
Human
|
|
Remarks
|
|
| IDENTIFICATION OF SPECIES OF ORIGIN |
Species of Origin confirmed by LINE assay |
| |
| Cytogenetics |
Chromosome 1: TRANSLOCATION Breakpoint 1q21 |
|
Chromosome 14: TRANSLOCATION Breakpoint 14q32 |
| Remarks |
Cell line SKI-DLCL-1 was established from a donor diagnosed with recurrent mantle cell lymphoma; ascitic fluid was removed from the donor and mononuclear cells were seeded at various cell concentrations in six-well plates. After four weeks the cells started to grow in suspension. This line had cells identical in morphology to the cells isolated at diagnosis. These cells have a high nuclear-cytoplasmic ratio with prominent nucleoli and numerous vacuoles. They demonstrate a profile of a mature B-cell phenotype identical to the original tumor: sIgM+, CD45+, CD10+, CD19+, CD20+, CD23+, CD3-, and CD5-; This cell line will only be shipped frozen. . |
| Goy A, Gilles F, Remache Y, Filippa D, Portlock CS, Jhanwar SC, Zelenetz AD, Establishment of a human cell line (SKI-DLCL-1) with a t(1;14)(q21;q32) translocation from the ascites of a patient with diffuse large cell lymphoma Leukemia & lymphoma40:419-23 2001 |
| PubMed ID: 11426565 |
| Split Ratio |
1:5 |
| Temperature |
37 C |
| Percent CO2 |
8% |
| Medium |
Iscove's Modified Dulbecco's Medium with 2mM L-glutamine or equivalent |
| Serum |
20% fetal bovine serum Not inactivated |
| Substrate |
None specified |
| Subcultivation Method |
trypsin-EDTA |
| Supplement |
- |
|
|